JavaScript is disabled in your browser. Please enable JavaScript to view this website.

Anti-CD39 antibody [EPR20627](AB223842)

$undefined

Anti-CD39 antibody [EPR20627](AB223842)

Anti-CD39 antibody [EPR20627](AB223842)

Anti-CD39 antibody [EPR20627](AB223842)

Anti-CD39 antibody [EPR20627](AB223842)

Anti-CD39 antibody [EPR20627](AB223842)

Anti-CD39 antibody [EPR20627](AB223842)

Anti-CD39 antibody [EPR20627](AB223842)

Anti-CD39 antibody [EPR20627](AB223842)

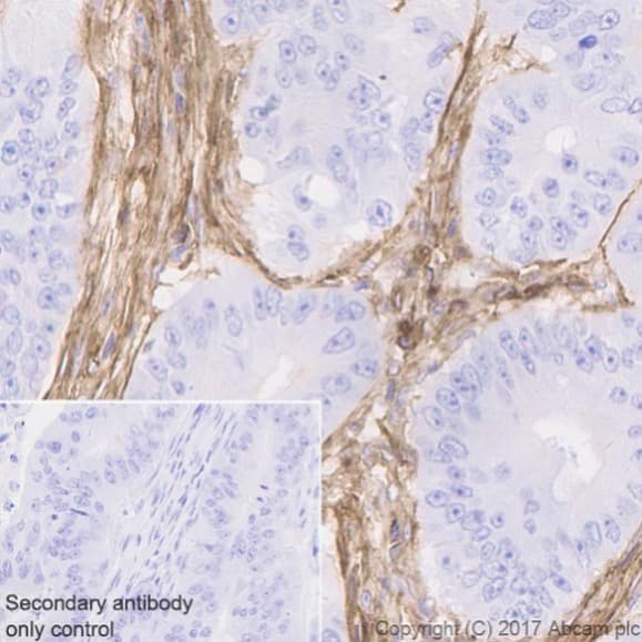
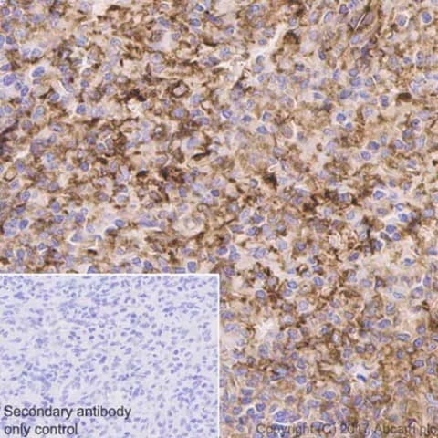
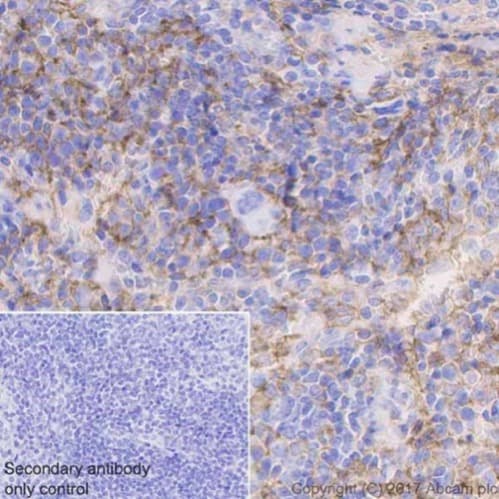
Rabbit Recombinant Monoclonal CD39 antibody. Suitable for WB, IHC-P and reacts with Mouse, Human samples. Cited in 8 publications.
Specifications
Shipped At Conditions Blue Ice
Appropriate Long term Storage Conditions Store at -20°C.
Clonality Monoclonal
Applications IHC-P, WB
Species Reactivity Human, Mouse
Isotype IgG