JavaScript is disabled in your browser. Please enable JavaScript to view this website.

Anti-Cardiac Troponin T antibody [EPR20266] - BSA and Azide free(AB223536)

$undefined

Cardiac Troponin T Antibody Epr20266 Bsa And Azide Free Ab223536  Flow Cytometry Intracellular Img414672

Cardiac Troponin T Antibody Epr20266 Bsa And Azide Free Ab223536  Flow Cytometry Intracellular Img415760

Cardiac Troponin T Antibody Epr20266 Bsa And Azide Free Ab223536  Immunohistochemistry Formalin Pfa Fixed Paraffin Embedded Sections Img107814

Cardiac Troponin T Antibody Epr20266 Bsa And Azide Free Ab223536  Immunohistochemistry Formalin Pfa Fixed Paraffin Embedded Sections Img114085

Cardiac Troponin T Antibody Epr20266 Bsa And Azide Free Ab223536  Immunohistochemistry Formalin Pfa Fixed Paraffin Embedded Sections Img119481

Cardiac Troponin T Antibody Epr20266 Bsa And Azide Free Ab223536  Immunohistochemistry Formalin Pfa Fixed Paraffin Embedded Sections Img18347

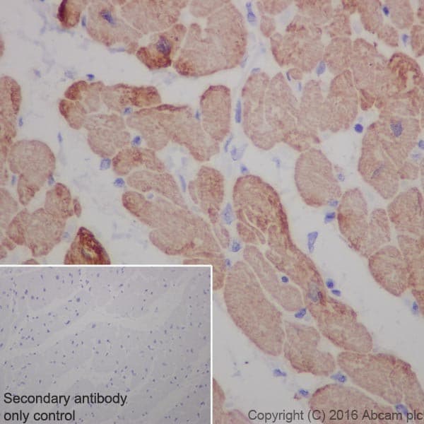
Cardiac Troponin T Antibody Epr20266 Bsa And Azide Free Ab223536  Immunohistochemistry Formalin Pfa Fixed Paraffin Embedded Sections Img20708

Cardiac Troponin T Antibody Epr20266 Bsa And Azide Free Ab223536  Immunohistochemistry Formalin Pfa Fixed Paraffin Embedded Sections Img72395

Rabbit Recombinant Monoclonal Cardiac Troponin T antibody. Carrier free. Suitable for WB, Flow Cyt (Intra), ICC/IF, IHC-P and reacts with Mouse, Rat, Human samples.
Specifications
Shipped At Conditions Blue Ice
Appropriate Long term Storage Conditions Store at +4°C.
Clonality Monoclonal
Applications Flow Cyt (Intra), ICC/IF, IHC-P, WB
Species Reactivity Human, Mouse, Rat
Isotype IgG