JavaScript is disabled in your browser. Please enable JavaScript to view this website.

Anti-DBC-1 antibody [EPR19747] - BSA and Azide free(AB223530)

$undefined

Anti-DBC-1 antibody [EPR19747] - BSA and Azide free(AB223530)

Anti-DBC-1 antibody [EPR19747] - BSA and Azide free(AB223530)

Anti-DBC-1 antibody [EPR19747] - BSA and Azide free(AB223530)

Anti-DBC-1 antibody [EPR19747] - BSA and Azide free(AB223530)

Anti-DBC-1 antibody [EPR19747] - BSA and Azide free(AB223530)

Anti-DBC-1 antibody [EPR19747] - BSA and Azide free(AB223530)

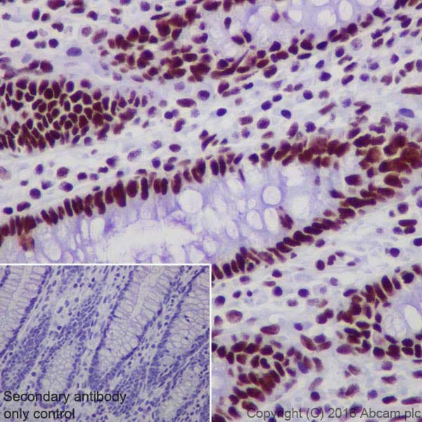
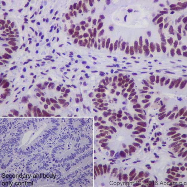
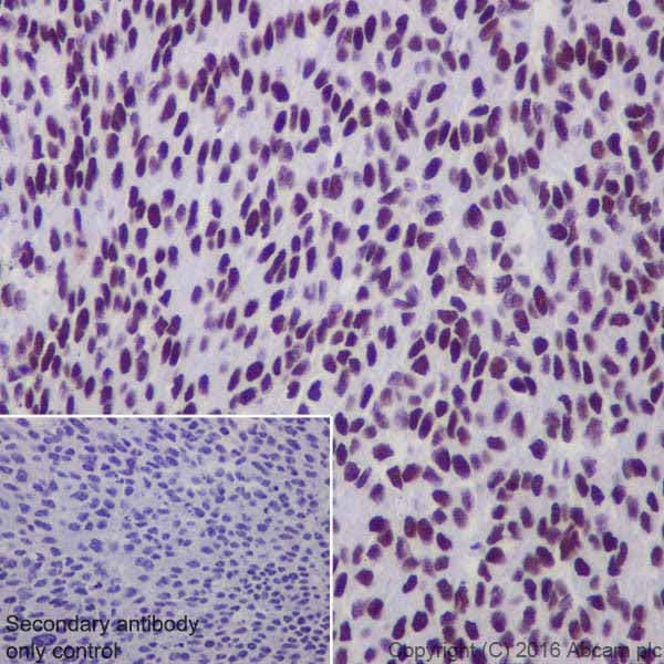
Rabbit Recombinant Monoclonal DBC-1 antibody. Carrier free. Suitable for IP, WB, ICC/IF, Flow Cyt (Intra), IHC-P and reacts with Human samples.
Specifications
Shipped At Conditions Blue Ice
Appropriate Long term Storage Conditions Store at +4°C.
Clonality Monoclonal
Applications Flow Cyt (Intra), ICC/IF, IHC-P, IP, WB
Species Reactivity Human
Isotype IgG