JavaScript is disabled in your browser. Please enable JavaScript to view this website.

Anti-GIP antibody [EPR20410] - Low endotoxin, Azide free(ab223157)

$undefined

Anti-GIP antibody [EPR20410] - Low endotoxin, Azide free(ab223157)

Anti-GIP antibody [EPR20410] - Low endotoxin, Azide free(ab223157)

Anti-GIP antibody [EPR20410] - Low endotoxin, Azide free(ab223157)

Anti-GIP antibody [EPR20410] - Low endotoxin, Azide free(ab223157)

Anti-GIP antibody [EPR20410] - Low endotoxin, Azide free(ab223157)

Anti-GIP antibody [EPR20410] - Low endotoxin, Azide free(ab223157)

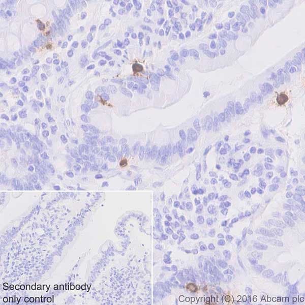
Rabbit Recombinant Monoclonal GIP antibody. Carrier free. Suitable for IHC-Fr, IHC-P, mIHC and reacts with Mouse, Rat, Human samples.
Specifications
Shipped At Conditions Blue Ice
Appropriate Long term Storage Conditions Store at +4°C.
Clonality Monoclonal
Applications IHC-Fr, IHC-P, mIHC
Species Reactivity Human, Mouse, Rat
Isotype IgG