JavaScript is disabled in your browser. Please enable JavaScript to view this website.

Anti-TrkB antibody [EPR17805-146] - Low endotoxin, Azide free(ab223155)

$undefined

Anti-TrkB antibody [EPR17805-146] - Low endotoxin, Azide free(ab223155)

Anti-TrkB antibody [EPR17805-146] - Low endotoxin, Azide free(ab223155)

Anti-TrkB antibody [EPR17805-146] - Low endotoxin, Azide free(ab223155)

Anti-TrkB antibody [EPR17805-146] - Low endotoxin, Azide free(ab223155)

Anti-TrkB antibody [EPR17805-146] - Low endotoxin, Azide free(ab223155)

Anti-TrkB antibody [EPR17805-146] - Low endotoxin, Azide free(ab223155)

Anti-TrkB antibody [EPR17805-146] - Low endotoxin, Azide free(ab223155)

Anti-TrkB antibody [EPR17805-146] - Low endotoxin, Azide free(ab223155)

Anti-TrkB antibody [EPR17805-146] - Low endotoxin, Azide free(ab223155)

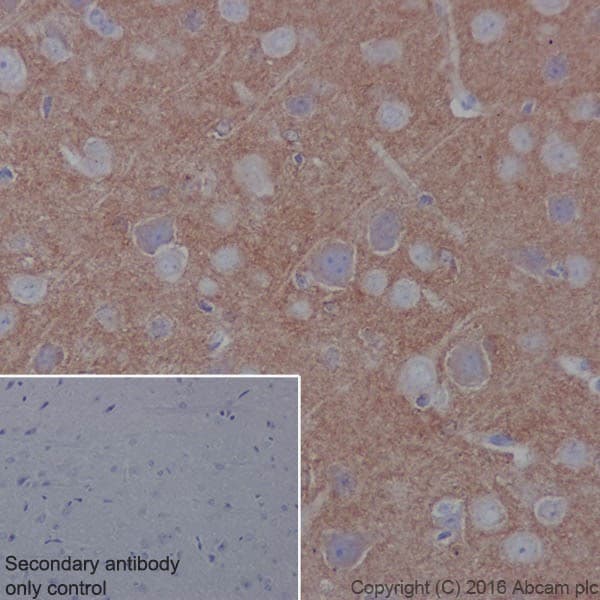
Rabbit Recombinant Monoclonal TrkB antibody. Carrier free. Suitable for I-ELISA, IP, WB, ICC/IF, IHC-P and reacts with Recombinant fragment - Mouse, Mouse, Rat samples.
Specifications
Shipped At Conditions Blue Ice
Appropriate Long term Storage Conditions Store at +4°C.
Clonality Monoclonal
Applications Flow Cyt, I-ELISA, ICC/IF, IHC-P, IP, WB
Species Reactivity Mouse, Rat
Isotype IgG