JavaScript is disabled in your browser. Please enable JavaScript to view this website.

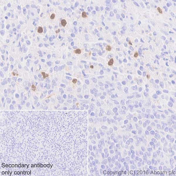
Anti-Ribonuclease 3/ECP antibody [EPR20357] - BSA and Azide free(ab223148)

$undefined

Anti-Ribonuclease 3/ECP antibody [EPR20357] - BSA and Azide free(ab223148)

Anti-Ribonuclease 3/ECP antibody [EPR20357] - BSA and Azide free(ab223148)

Anti-Ribonuclease 3/ECP antibody [EPR20357] - BSA and Azide free(ab223148)

Rabbit Recombinant Monoclonal Ribonuclease 3/ECP antibody. Carrier free. Suitable for WB, IHC-P and reacts with Human samples.
Specifications
Shipped At Conditions Blue Ice
Appropriate Long term Storage Conditions Store at +4°C.
Clonality Monoclonal
Applications IHC-P, WB
Species Reactivity Human
Isotype IgG