JavaScript is disabled in your browser. Please enable JavaScript to view this website.

Anti-GFAP antibody [EPR19996] - BSA and Azide free(ab223127)

$undefined

Anti-GFAP antibody [EPR19996] - BSA and Azide free(ab223127)

Anti-GFAP antibody [EPR19996] - BSA and Azide free(ab223127)

Anti-GFAP antibody [EPR19996] - BSA and Azide free(ab223127)

Anti-GFAP antibody [EPR19996] - BSA and Azide free(ab223127)

Anti-GFAP antibody [EPR19996] - BSA and Azide free(ab223127)

Anti-GFAP antibody [EPR19996] - BSA and Azide free(ab223127)

Anti-GFAP antibody [EPR19996] - BSA and Azide free(ab223127)

Anti-GFAP antibody [EPR19996] - BSA and Azide free(ab223127)

Anti-GFAP antibody [EPR19996] - BSA and Azide free(ab223127)

Anti-GFAP antibody [EPR19996] - BSA and Azide free(ab223127)

Anti-GFAP antibody [EPR19996] - BSA and Azide free(ab223127)

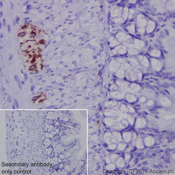
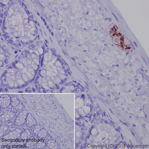
Rabbit Recombinant Monoclonal GFAP antibody. Carrier free. Suitable for ICC/IF, IP, WB, IHC-Fr, Flow Cyt (Intra), IHC-P and reacts with Mouse, Human, Rat samples.
Specifications
Shipped At Conditions Blue Ice
Appropriate Long term Storage Conditions Store at +4°C.
Clonality Monoclonal
Applications Flow Cyt (Intra), ICC/IF, IHC-Fr, IHC-P, IP, WB
Species Reactivity Human, Mouse, Rat
Isotype IgG