JavaScript is disabled in your browser. Please enable JavaScript to view this website.

Anti-active YAP1 antibody [EPR19812] - BSA and Azide free(ab223126)

$undefined

Anti-active YAP1 antibody [EPR19812] - BSA and Azide free(ab223126)

Anti-active YAP1 antibody [EPR19812] - BSA and Azide free(ab223126)

Anti-active YAP1 antibody [EPR19812] - BSA and Azide free(ab223126)

Anti-active YAP1 antibody [EPR19812] - BSA and Azide free(ab223126)

Anti-active YAP1 antibody [EPR19812] - BSA and Azide free(ab223126)

Anti-active YAP1 antibody [EPR19812] - BSA and Azide free(ab223126)

Anti-active YAP1 antibody [EPR19812] - BSA and Azide free(ab223126)

Anti-active YAP1 antibody [EPR19812] - BSA and Azide free(ab223126)

Anti-active YAP1 antibody [EPR19812] - BSA and Azide free(ab223126)

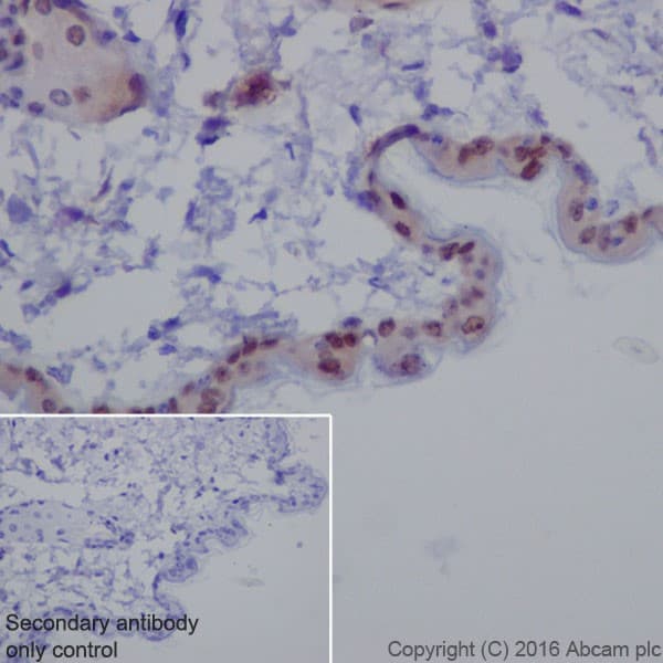
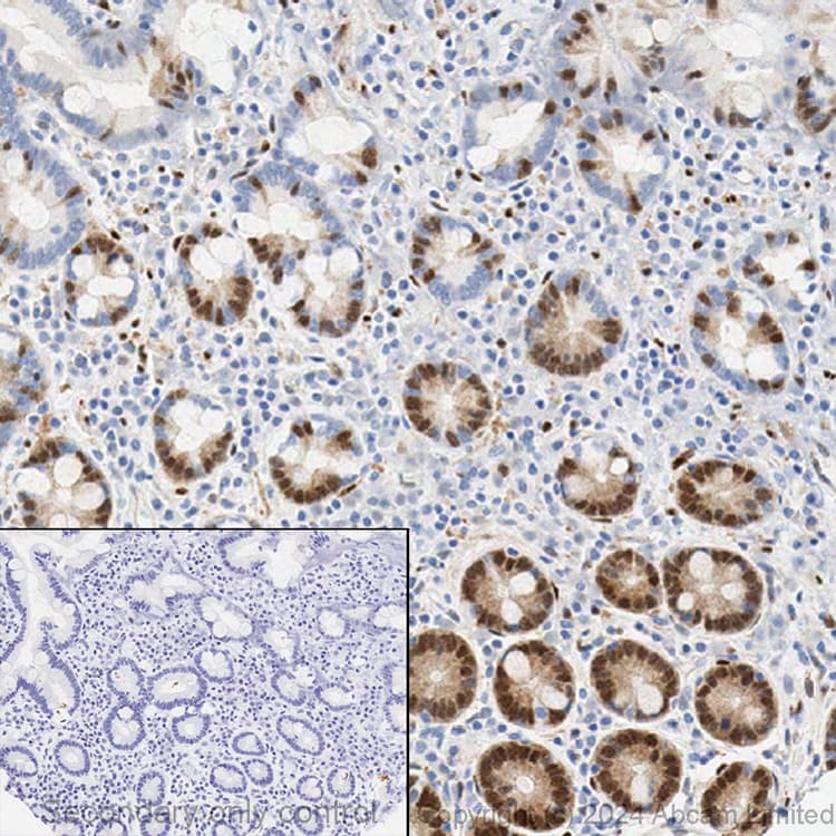
Rabbit Recombinant Monoclonal YAP1 antibody. Carrier free. Suitable for WB, ICC/IF, IHC-P and reacts with Human, Mouse samples. Cited in 1 publication.
Specifications
Shipped At Conditions Blue Ice
Appropriate Long term Storage Conditions Store at +4°C.
Clonality Monoclonal
Applications ICC/IF, IHC-P, WB
Species Reactivity Human, Mouse
Isotype IgG