JavaScript is disabled in your browser. Please enable JavaScript to view this website.

Anti-ADCK4 antibody(ab223114)

$undefined

Anti-ADCK4 antibody(ab223114)

Anti-ADCK4 antibody(ab223114)

Anti-ADCK4 antibody(ab223114)

Anti-ADCK4 antibody(ab223114)

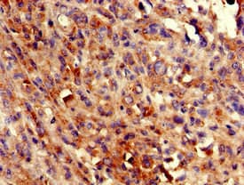
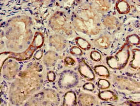
Rabbit Polyclonal ADCK4 antibody. Suitable for WB, IHC-P, ICC/IF and reacts with Human samples. Immunogen corresponding to Recombinant Fragment Protein within Human COQ8B aa 1-150.
Specifications
Shipped At Conditions Blue Ice
Appropriate Long term Storage Conditions Store at -20°C.
Clonality Polyclonal
Applications ICC/IF, IHC-P, WB
Species Reactivity Human
Isotype IgG