JavaScript is disabled in your browser. Please enable JavaScript to view this website.

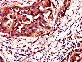
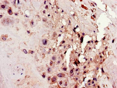
Anti-C4orf26 antibody(ab223071)

$undefined

Anti-C4orf26 antibody(ab223071)

Anti-C4orf26 antibody(ab223071)

Rabbit Polyclonal C4orf26 antibody. Suitable for IHC-P and reacts with Human samples. Cited in 1 publication. Immunogen corresponding to Recombinant Fragment Protein within Human Odontogenesis associated phosphoprotein aa 1 to C-terminus.
Specifications
Shipped At Conditions Blue Ice
Appropriate Long term Storage Conditions Store at -20°C.
Clonality Polyclonal
Applications IHC-P
Species Reactivity Human
Isotype IgG