JavaScript is disabled in your browser. Please enable JavaScript to view this website.

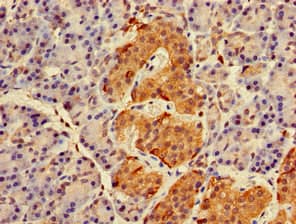
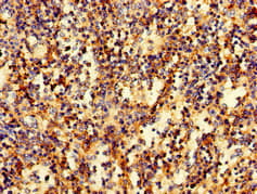
Anti-Rab27A antibody(ab223044)

$undefined

Anti-Rab27A antibody(ab223044)

Anti-Rab27A antibody(ab223044)

Anti-Rab27A antibody(ab223044)

Rabbit Polyclonal Rab27A antibody. Suitable for IHC-P, ICC/IF and reacts with Human samples. Cited in 1 publication. Immunogen corresponding to Recombinant Full Length Protein corresponding to Human Ras-related protein Rab-27A.
Specifications
Shipped At Conditions Blue Ice
Appropriate Long term Storage Conditions Store at -20°C.
Clonality Polyclonal
Applications ICC/IF, IHC-P
Species Reactivity Human
Isotype IgG