JavaScript is disabled in your browser. Please enable JavaScript to view this website.

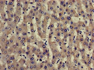
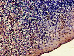
Anti-TRADD antibody(ab223040)

$undefined

Anti-TRADD antibody(ab223040)

Anti-TRADD antibody(ab223040)

Anti-TRADD antibody(ab223040)

Anti-TRADD antibody(ab223040)

Anti-TRADD antibody(ab223040)

Rabbit Polyclonal TRADD antibody. Suitable for IP, WB, IHC-P, ICC/IF and reacts with Human, Rat samples. Immunogen corresponding to Recombinant Full Length Protein corresponding to Human TRADD.
Specifications
Shipped At Conditions Blue Ice
Appropriate Long term Storage Conditions Store at -20°C.
Clonality Polyclonal
Applications ICC/IF, IHC-P, IP, WB
Species Reactivity Human, Rat
Isotype IgG