JavaScript is disabled in your browser. Please enable JavaScript to view this website.

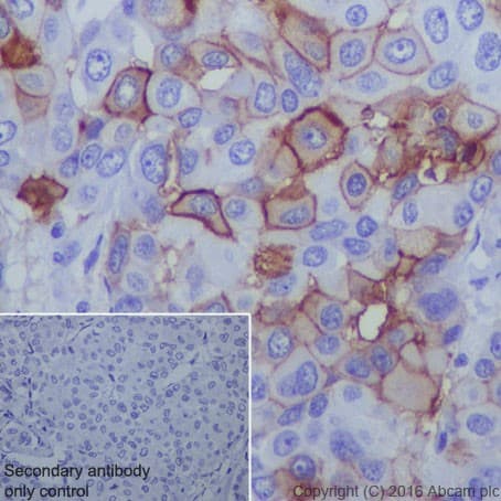
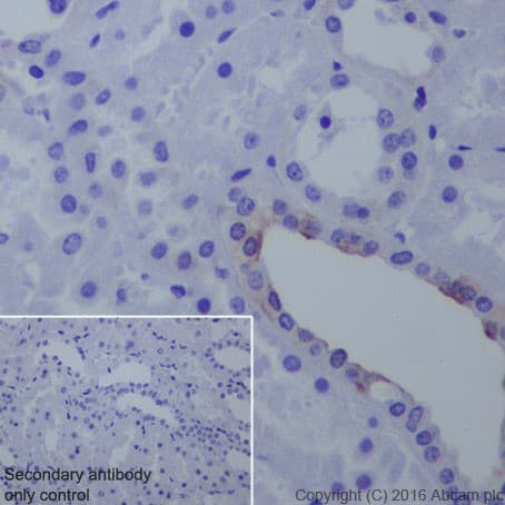
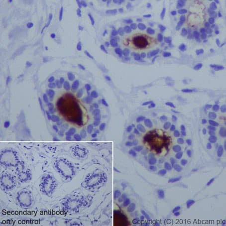
Anti-B7H4 antibody [EPR20236] - Low endotoxin, Azide free(ab222927)

$undefined

Anti-B7H4 antibody [EPR20236] - Low endotoxin, Azide free(ab222927)

Anti-B7H4 antibody [EPR20236] - Low endotoxin, Azide free(ab222927)

Anti-B7H4 antibody [EPR20236] - Low endotoxin, Azide free(ab222927)

Anti-B7H4 antibody [EPR20236] - Low endotoxin, Azide free(ab222927)

Anti-B7H4 antibody [EPR20236] - Low endotoxin, Azide free(ab222927)

Rabbit Recombinant Monoclonal B7H4 antibody. Carrier free. Suitable for IHC-P, WB, ICC/IF and reacts with Human samples.
Specifications
Shipped At Conditions Blue Ice
Appropriate Long term Storage Conditions Store at +4°C.
Clonality Monoclonal
Applications ICC/IF, IHC-P, WB
Species Reactivity Human
Isotype IgG