JavaScript is disabled in your browser. Please enable JavaScript to view this website.

Anti-Cx50 antibody(ab222885)

$undefined

Anti-Cx50 antibody(ab222885)

Anti-Cx50 antibody(ab222885)

Anti-Cx50 antibody(ab222885)

Anti-Cx50 antibody(ab222885)

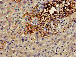
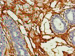
Rabbit Polyclonal Cx50 antibody. Suitable for WB, IHC-P, ICC/IF and reacts with Human, Mouse, Rat samples. Cited in 3 publications. Immunogen corresponding to Recombinant Fragment Protein within Human Gap junction alpha-8 protein aa 250 to C-terminus.
Specifications
Shipped At Conditions Blue Ice
Appropriate Long term Storage Conditions Store at -20°C.
Clonality Polyclonal
Applications ICC/IF, IHC-P, WB
Species Reactivity Human, Mouse, Rat
Isotype IgG