JavaScript is disabled in your browser. Please enable JavaScript to view this website.

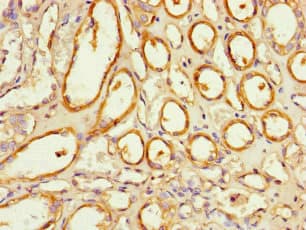
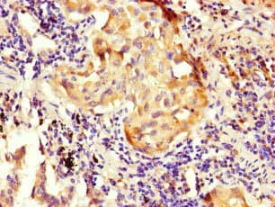
Anti-NOXA1 antibody(ab222852)

$undefined

Anti-NOXA1 antibody(ab222852)

Anti-NOXA1 antibody(ab222852)

Anti-NOXA1 antibody(ab222852)

Anti-NOXA1 antibody(ab222852)

Rabbit Polyclonal NOXA1 antibody. Suitable for WB, IHC-P, ICC/IF and reacts with Mouse, Human samples. Immunogen corresponding to Recombinant Fragment Protein within Human NADPH oxidase activator 1 aa 150-350.
Specifications
Shipped At Conditions Blue Ice
Appropriate Long term Storage Conditions Store at -20°C.
Clonality Polyclonal
Applications ICC/IF, IHC-P, WB
Species Reactivity Human, Mouse
Isotype IgG