JavaScript is disabled in your browser. Please enable JavaScript to view this website.

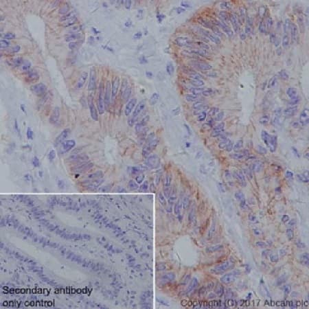
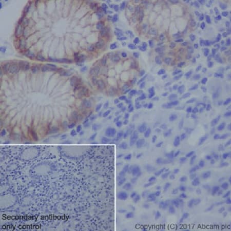
Anti-Claudin 18.2 antibody [EPR19202](AB222512)

$undefined

Anti-Claudin 18.2 antibody [EPR19202](AB222512)

Anti-Claudin 18.2 antibody [EPR19202](AB222512)

Anti-Claudin 18.2 antibody [EPR19202](AB222512)

Anti-Claudin 18.2 antibody [EPR19202](AB222512)

Anti-Claudin 18.2 antibody [EPR19202](AB222512)

Anti-Claudin 18.2 antibody [EPR19202](AB222512)

Anti-Claudin 18.2 antibody [EPR19202](AB222512)

Anti-Claudin 18.2 antibody [EPR19202](AB222512)

Anti-Claudin 18.2 antibody [EPR19202](AB222512)

Anti-Claudin 18.2 antibody [EPR19202](AB222512)

Anti-Claudin 18.2 antibody [EPR19202](AB222512)

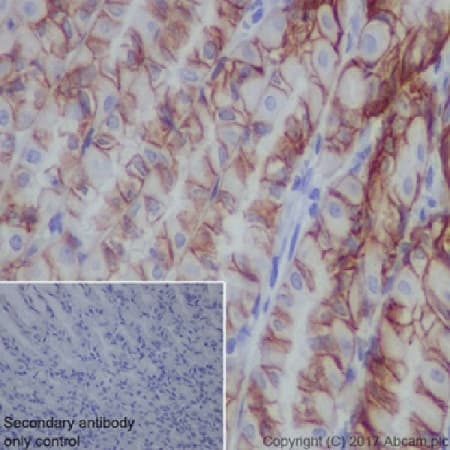
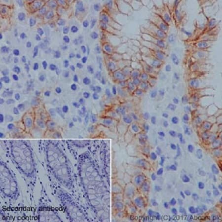
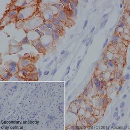
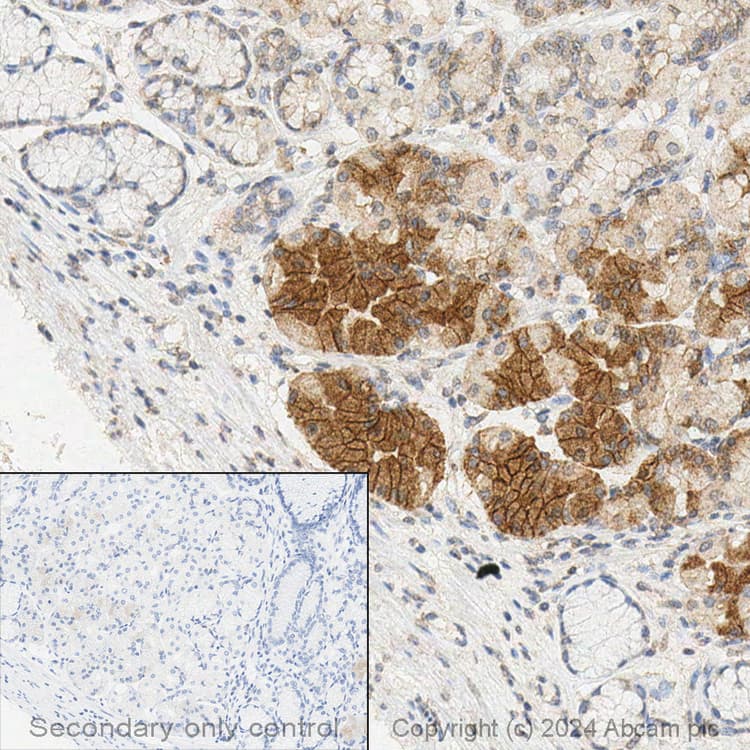
Anti-Claudin18.2 antibody [EPR19202] ab222512 is a rabbit monoclonal antibody that is used in Claudin18.2 IHC. Suitable for human, mouse and rat samples.

- Recombinant format for unrivaled batch-batch consistency: no need for same-lot requests
- Enhanced IHC validation data available, giving you an extra level of confidence
- Antibody clone EPR19202 is the most widely used clone for Claudin18.2 on the market
Specifications
Shipped At Conditions Blue Ice
Appropriate Long term Storage Conditions Store at -20°C.
Clonality Monoclonal
Applications ICC/IF, IHC-Fr, IHC-P
Species Reactivity Human, Mouse, Rat
Isotype IgG