JavaScript is disabled in your browser. Please enable JavaScript to view this website.

Anti-ZO1 tight junction protein antibody [EPR19945-296](AB221547)

$undefined

Anti-ZO1 tight junction protein antibody [EPR19945-296](AB221547)

Anti-ZO1 tight junction protein antibody [EPR19945-296](AB221547)

Anti-ZO1 tight junction protein antibody [EPR19945-296](AB221547)

Anti-ZO1 tight junction protein antibody [EPR19945-296](AB221547)

Anti-ZO1 tight junction protein antibody [EPR19945-296](AB221547)

Anti-ZO1 tight junction protein antibody [EPR19945-296](AB221547)

Anti-ZO1 tight junction protein antibody [EPR19945-296](AB221547)

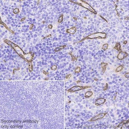
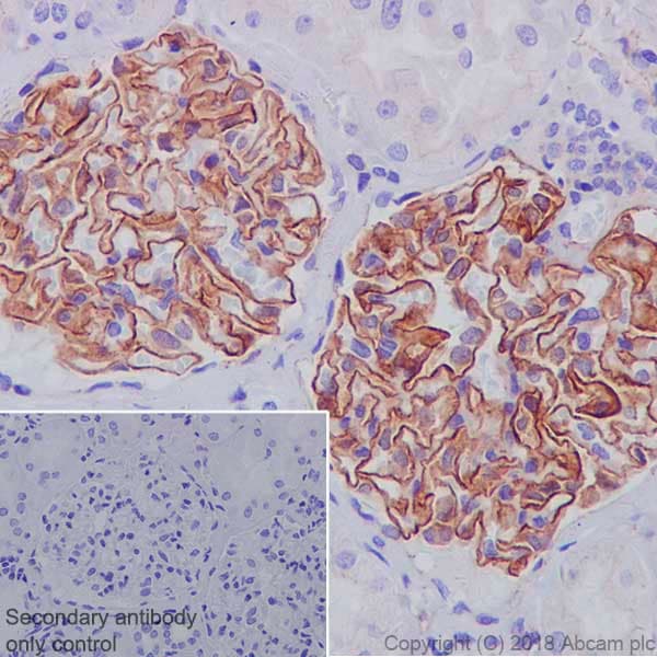
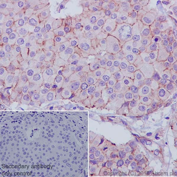
Anti-ZO1 tight junction protein antibody [EPR19945-296] ab221547 is a rabbit monoclonal antibody that is used in ZO1 tight junction protein IHC, immunofluorescence and flow cytometry. Suitable for human, mouse and rat samples.

- Recombinant format for unrivaled batch-batch consistency: no need for same-lot requests
- Specificity and sensitivity confirmed in IHC with multi-tissue microarray (TMA) validation
- Antibody clone EPR19945-296 is cited in over 140 publications
New 20 ul size available
Specifications
Shipped At Conditions Blue Ice
Appropriate Long term Storage Conditions Store at -20°C.
Clonality Monoclonal
Applications Flow Cyt (Intra), ICC/IF, IHC-Fr, IHC-P, IP, WB
Species Reactivity Human, Mouse, Rat
Isotype IgG