JavaScript is disabled in your browser. Please enable JavaScript to view this website.

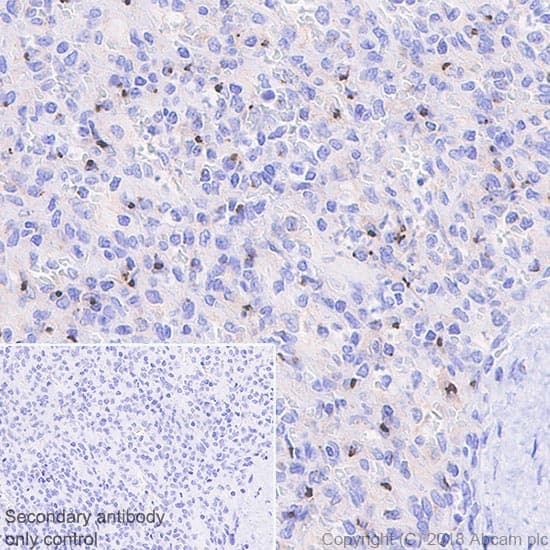
Anti-AICL antibody [EPR22061](ab221158)

$undefined

Anti-AICL antibody [EPR22061](ab221158)

Anti-AICL antibody [EPR22061](ab221158)

Anti-AICL antibody [EPR22061](ab221158)

Anti-AICL antibody [EPR22061](ab221158)

Anti-AICL antibody [EPR22061](ab221158)

Rabbit Recombinant Monoclonal AICL antibody. Suitable for IHC-P, IP, WB, ICC/IF and reacts with Human samples.
Specifications
Shipped At Conditions Blue Ice
Appropriate Long term Storage Conditions Store at -20°C.
Clonality Monoclonal
Applications ICC/IF, IHC-P, IP, WB
Species Reactivity Human
Isotype IgG