JavaScript is disabled in your browser. Please enable JavaScript to view this website.

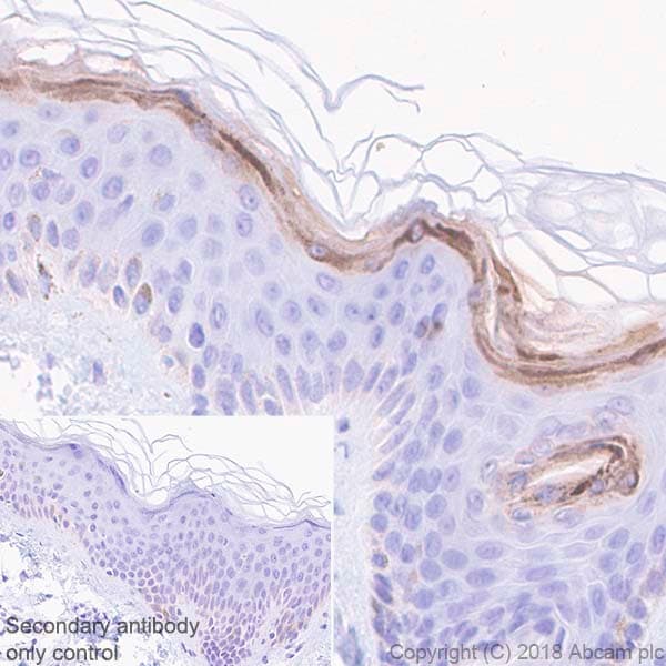
Anti-Filaggrin antibody [EPR21892](ab221155)

$undefined

Anti-Filaggrin antibody [EPR21892](ab221155)

Anti-Filaggrin antibody [EPR21892](ab221155)

Rabbit Recombinant Monoclonal Filaggrin antibody. Suitable for mIHC, IHC-P and reacts with Human samples. Cited in 4 publications.
Specifications
Shipped At Conditions Blue Ice
Appropriate Long term Storage Conditions Store at -20°C.
Clonality Monoclonal
Applications ICC/IF, IHC-P, WB, mIHC
Species Reactivity Human
Isotype IgG