JavaScript is disabled in your browser. Please enable JavaScript to view this website.

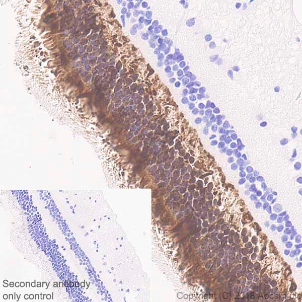
Anti-PHOS/PDC antibody [EPR21913](ab221138)

$undefined

Anti-PHOS/PDC antibody [EPR21913](ab221138)

Anti-PHOS/PDC antibody [EPR21913](ab221138)

Anti-PHOS/PDC antibody [EPR21913](ab221138)

Anti-PHOS/PDC antibody [EPR21913](ab221138)

Anti-PHOS/PDC antibody [EPR21913](ab221138)

Anti-PHOS/PDC antibody [EPR21913](ab221138)

Anti-PHOS/PDC antibody [EPR21913](ab221138)

Rabbit Recombinant Monoclonal PHOS/PDC antibody. Suitable for IP, WB, IHC-P, IHC-Fr and reacts with Mouse, Rat, Human samples.
Specifications
Shipped At Conditions Blue Ice
Appropriate Long term Storage Conditions Store at -20°C.
Clonality Monoclonal
Applications IHC-Fr, IHC-P, IP, WB
Species Reactivity Human, Mouse, Rat
Isotype IgG