JavaScript is disabled in your browser. Please enable JavaScript to view this website.

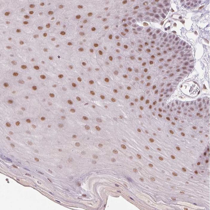
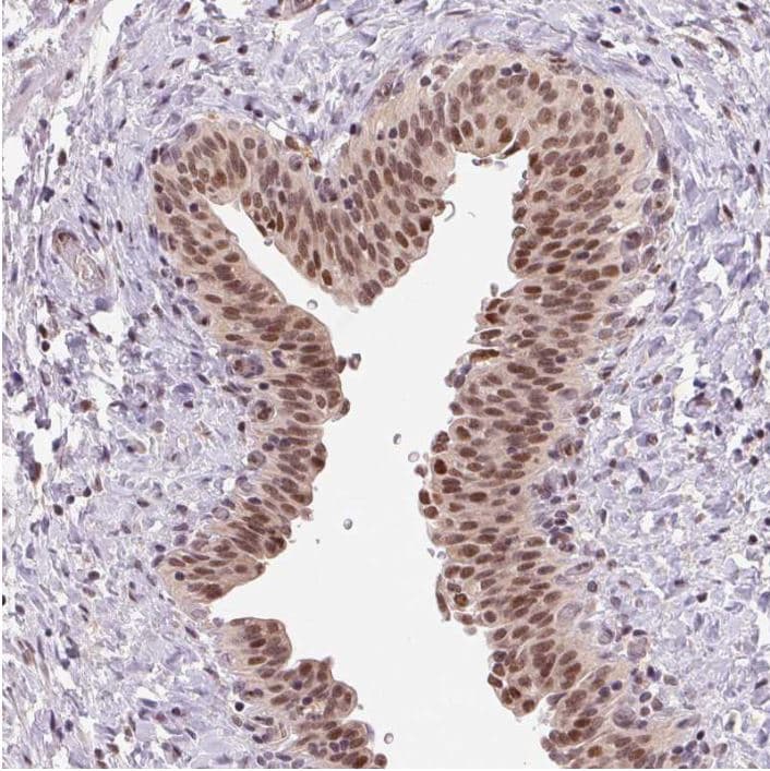
Anti-GRHL3 antibody(ab221058)

$undefined

Anti-GRHL3 antibody(ab221058)

Anti-GRHL3 antibody(ab221058)

Anti-GRHL3 antibody(ab221058)

Anti-GRHL3 antibody(ab221058)

Anti-GRHL3 antibody(ab221058)

Rabbit Polyclonal GRHL3 antibody. Suitable for IHC-P, ICC/IF and reacts with Human samples. Immunogen corresponding to Recombinant Fragment Protein within Human Grainyhead-like protein 3 homolog aa 50-150.
Specifications
Shipped At Conditions Blue Ice
Appropriate Long term Storage Conditions Store at -20°C.
Clonality Polyclonal
Applications ICC/IF, IHC-P
Species Reactivity Human
Isotype IgG