JavaScript is disabled in your browser. Please enable JavaScript to view this website.

Anti-Sarcomeric Alpha Actinin antibody [EP2529Y] - BSA and Azide free(ab220817)

$undefined

Anti-Sarcomeric Alpha Actinin antibody [EP2529Y] - BSA and Azide free(ab220817)

Anti-Sarcomeric Alpha Actinin antibody [EP2529Y] - BSA and Azide free(ab220817)

Anti-Sarcomeric Alpha Actinin antibody [EP2529Y] - BSA and Azide free(ab220817)

Anti-Sarcomeric Alpha Actinin antibody [EP2529Y] - BSA and Azide free(ab220817)

Anti-Sarcomeric Alpha Actinin antibody [EP2529Y] - BSA and Azide free(ab220817)

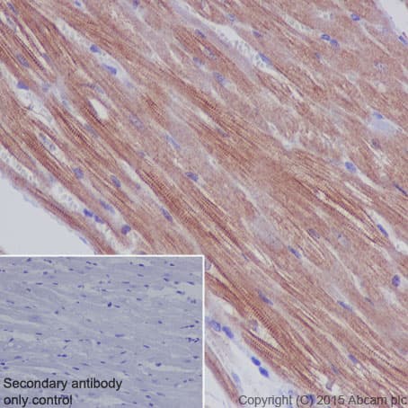
Rabbit Recombinant Monoclonal Sarcomeric Alpha Actinin antibody. Carrier free. Suitable for IHC-P, IP, WB and reacts with Human, Mouse, Rat samples. Cited in 6 publications.
Specifications
Shipped At Conditions Blue Ice
Appropriate Long term Storage Conditions Store at +4°C.
Clonality Monoclonal
Applications Flow Cyt, ICC/IF, IHC-P, IP, WB
Species Reactivity Human, Mouse, Rat
Isotype IgG