JavaScript is disabled in your browser. Please enable JavaScript to view this website.

Anti-CRTC3 antibody [EPR3440] - BSA and Azide free(ab220809)

$undefined

Anti-CRTC3 antibody [EPR3440] - BSA and Azide free(ab220809)

Anti-CRTC3 antibody [EPR3440] - BSA and Azide free(ab220809)

Anti-CRTC3 antibody [EPR3440] - BSA and Azide free(ab220809)

Anti-CRTC3 antibody [EPR3440] - BSA and Azide free(ab220809)

Anti-CRTC3 antibody [EPR3440] - BSA and Azide free(ab220809)

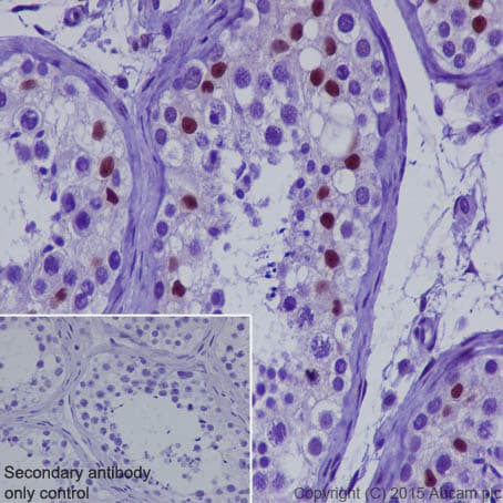
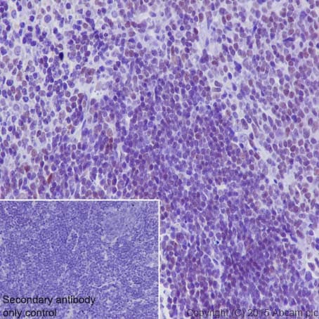
Rabbit Recombinant Monoclonal CRTC3 antibody. Carrier free. Suitable for ICC/IF, WB, IHC-P and reacts with Human, Mouse, Rat samples. Cited in 4 publications.
Specifications
Shipped At Conditions Blue Ice
Appropriate Long term Storage Conditions Store at +4°C.
Clonality Monoclonal
Applications ICC/IF, IHC-P, IP, WB
Species Reactivity Human, Mouse, Rat
Isotype IgG