JavaScript is disabled in your browser. Please enable JavaScript to view this website.

Anti-Cytokeratin 7 antibody [EPR17078] - BSA and Azide free(ab220804)

$undefined

Anti-Cytokeratin 7 antibody [EPR17078] - BSA and Azide free(ab220804)

Anti-Cytokeratin 7 antibody [EPR17078] - BSA and Azide free(ab220804)

Anti-Cytokeratin 7 antibody [EPR17078] - BSA and Azide free(ab220804)

Anti-Cytokeratin 7 antibody [EPR17078] - BSA and Azide free(ab220804)

Anti-Cytokeratin 7 antibody [EPR17078] - BSA and Azide free(ab220804)

Anti-Cytokeratin 7 antibody [EPR17078] - BSA and Azide free(ab220804)

Anti-Cytokeratin 7 antibody [EPR17078] - BSA and Azide free(ab220804)

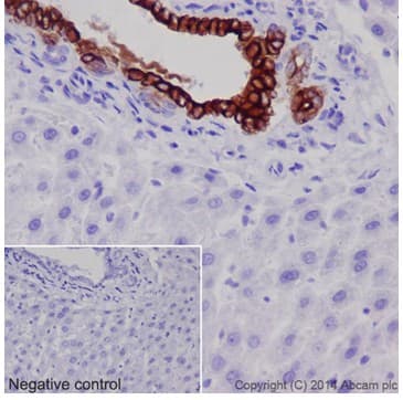
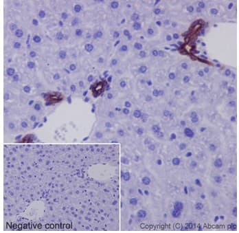
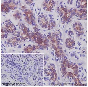
Rabbit Recombinant Monoclonal Cytokeratin 7 antibody. Carrier free. Suitable for WB, ICC/IF, IHC-Fr, Flow Cyt (Intra), IHC-P and reacts with Mouse, Rat, Human samples. Cited in 2 publications.
Specifications
Shipped At Conditions Blue Ice
Appropriate Long term Storage Conditions Store at +4°C.
Clonality Monoclonal
Applications Flow Cyt (Intra), ICC/IF, IHC-Fr, IHC-P, WB
Species Reactivity Human, Mouse, Rat
Isotype IgG