JavaScript is disabled in your browser. Please enable JavaScript to view this website.

Anti-Amyloid Precursor Protein antibody [Y188] - Low endotoxin, Azide free(ab220793)

$undefined

Anti-Amyloid Precursor Protein antibody [Y188] - Low endotoxin, Azide free(ab220793)

Anti-Amyloid Precursor Protein antibody [Y188] - Low endotoxin, Azide free(ab220793)

Anti-Amyloid Precursor Protein antibody [Y188] - Low endotoxin, Azide free(ab220793)

Anti-Amyloid Precursor Protein antibody [Y188] - Low endotoxin, Azide free(ab220793)

Anti-Amyloid Precursor Protein antibody [Y188] - Low endotoxin, Azide free(ab220793)

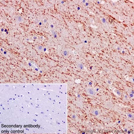
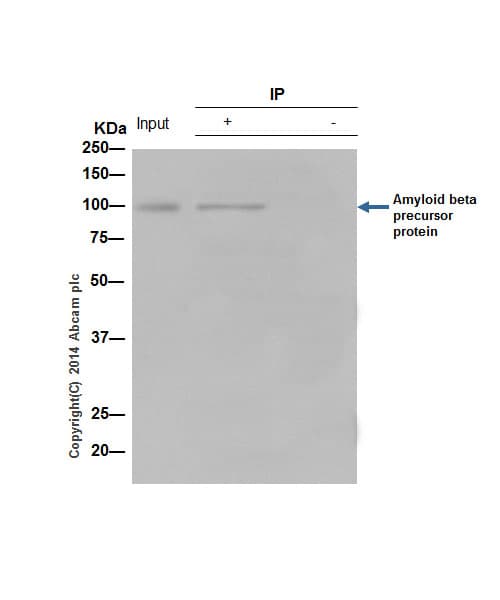
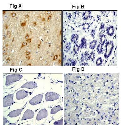
Rabbit Recombinant Monoclonal Amyloid-beta precursor protein antibody. Carrier free. Suitable for IHC-P, IP, WB, ICC/IF and reacts with Human, Mouse, Rat samples.
Specifications
Shipped At Conditions Blue Ice
Appropriate Long term Storage Conditions Store at +4°C.
Clonality Monoclonal
Applications Flow Cyt, Flow Cyt (Intra), ICC/IF, IHC-P, IP, WB
Species Reactivity Human, Mouse, Rat
Isotype IgG