JavaScript is disabled in your browser. Please enable JavaScript to view this website.

Anti-Pericentrin antibody [EPR21987] - Centrosome Marker(ab220784)

$undefined

Anti-Pericentrin antibody [EPR21987] - Centrosome Marker(ab220784)

Anti-Pericentrin antibody [EPR21987] - Centrosome Marker(ab220784)

Anti-Pericentrin antibody [EPR21987] - Centrosome Marker(ab220784)

Anti-Pericentrin antibody [EPR21987] - Centrosome Marker(ab220784)

Anti-Pericentrin antibody [EPR21987] - Centrosome Marker(ab220784)

Anti-Pericentrin antibody [EPR21987] - Centrosome Marker(ab220784)

Anti-Pericentrin antibody [EPR21987] - Centrosome Marker(ab220784)

Anti-Pericentrin antibody [EPR21987] - Centrosome Marker(ab220784)

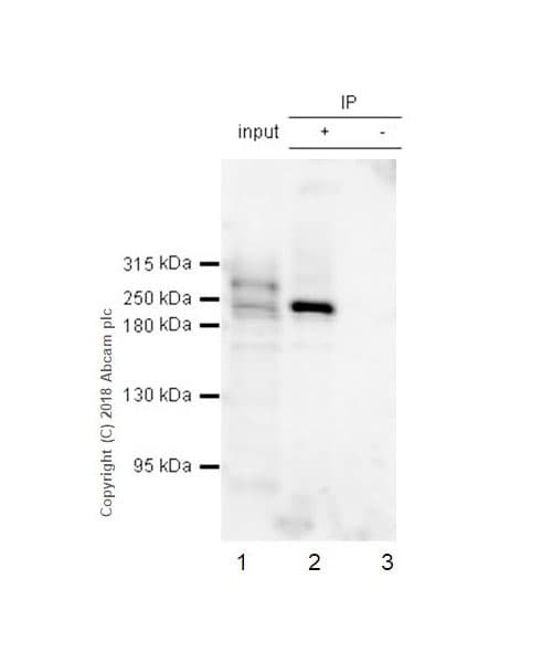
Rabbit Recombinant Monoclonal Pericentrin antibody. Centrosome marker. Suitable for IP, ICC/IF, Flow Cyt (Intra), IHC-P and reacts with Mouse, Human samples. Cited in 6 publications.
Specifications
Shipped At Conditions Blue Ice
Appropriate Long term Storage Conditions Store at -20°C.
Clonality Monoclonal
Applications Flow Cyt (Intra), ICC/IF, IHC-P, IP
Species Reactivity Human, Mouse
Isotype IgG