JavaScript is disabled in your browser. Please enable JavaScript to view this website.

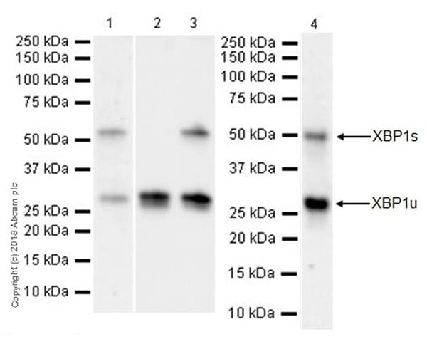
Anti-XBP1 antibody [EPR22004](ab220783)

$undefined

Anti-XBP1 antibody [EPR22004](ab220783)

Anti-XBP1 antibody [EPR22004](ab220783)

Anti-XBP1 antibody [EPR22004](ab220783)

Anti-XBP1 antibody [EPR22004](ab220783)

Anti-XBP1 antibody [EPR22004](ab220783)

Rabbit Recombinant Monoclonal XBP1 antibody. Suitable for IP, WB, Flow Cyt (Intra) and reacts with Human, Mouse samples. Cited in 29 publications.
Specifications
Shipped At Conditions Blue Ice
Appropriate Long term Storage Conditions Store at -20°C.
Clonality Monoclonal
Applications Flow Cyt (Intra), IP, WB
Species Reactivity Human, Mouse
Isotype IgG