JavaScript is disabled in your browser. Please enable JavaScript to view this website.

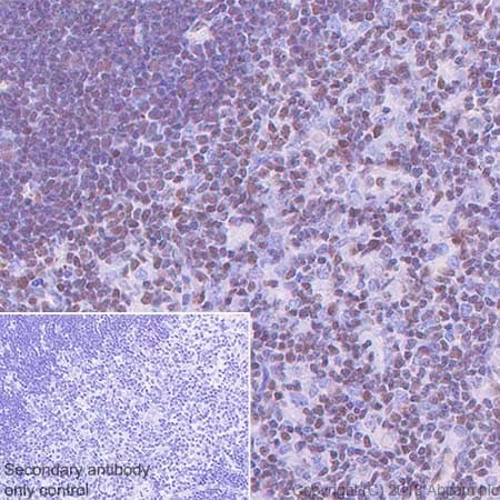
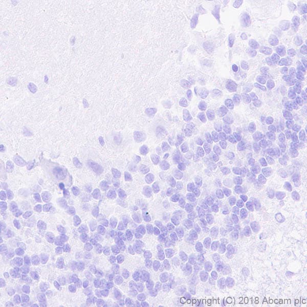
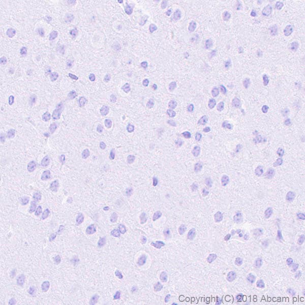
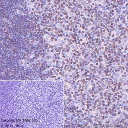
Anti-ETS2 antibody [EPR22419](AB219948)

$undefined

Anti-ETS2 antibody [EPR22419](AB219948)

Anti-ETS2 antibody [EPR22419](AB219948)

Anti-ETS2 antibody [EPR22419](AB219948)

Anti-ETS2 antibody [EPR22419](AB219948)

Anti-ETS2 antibody [EPR22419](AB219948)

Anti-ETS2 antibody [EPR22419](AB219948)

Anti-ETS2 antibody [EPR22419](AB219948)

Anti-ETS2 antibody [EPR22419](AB219948)

Rabbit Recombinant Monoclonal ETS2 antibody. Suitable for IP, WB, ICC/IF, IHC-P and reacts with Human, Mouse, Rat samples. Cited in 3 publications.
Specifications
Shipped At Conditions Blue Ice
Appropriate Long term Storage Conditions Store at -20°C.
Clonality Monoclonal
Applications Flow Cyt, ICC/IF, IHC-P, IP, WB
Species Reactivity Human, Mouse, Rat
Isotype IgG