JavaScript is disabled in your browser. Please enable JavaScript to view this website.

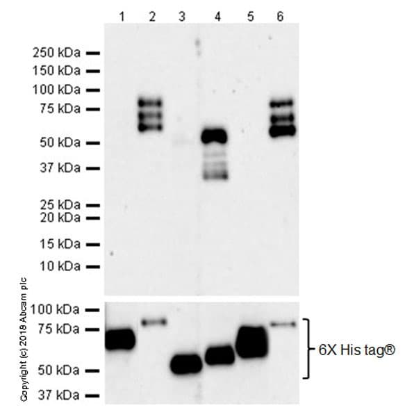
Anti-4R Tau antibody [EPR21725](ab218314)

$undefined

Anti-4R Tau antibody [EPR21725](ab218314)

Anti-4R Tau antibody [EPR21725](ab218314)

Anti-4R Tau antibody [EPR21725](ab218314)

Anti-4R Tau antibody [EPR21725](ab218314)

Anti-4R Tau antibody [EPR21725](ab218314)

Anti-4R Tau antibody [EPR21725](ab218314)

Anti-4R Tau antibody [EPR21725](ab218314)

Anti-4R Tau antibody [EPR21725](ab218314)

Anti-4R Tau antibody [EPR21725](ab218314)

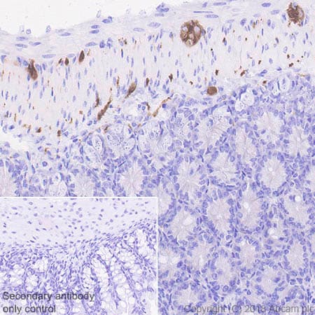
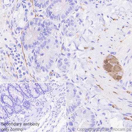
Rabbit Recombinant Monoclonal TAU antibody. Suitable for IP, WB, IHC-P and reacts with Rat, Mouse, Human, Recombinant fragment - Human samples. Cited in 2 publications.
Specifications
Shipped At Conditions Blue Ice
Appropriate Long term Storage Conditions Store at -20°C.
Clonality Monoclonal
Applications IHC-Fr, IHC-P, IP, WB
Species Reactivity Human, Mouse, Rat
Isotype IgG