JavaScript is disabled in your browser. Please enable JavaScript to view this website.

Anti-beta 2 Microglobulin antibody [EPR21752-214](ab218230)

$undefined

Anti-beta 2 Microglobulin antibody [EPR21752-214](ab218230)

Anti-beta 2 Microglobulin antibody [EPR21752-214](ab218230)

Anti-beta 2 Microglobulin antibody [EPR21752-214](ab218230)

Anti-beta 2 Microglobulin antibody [EPR21752-214](ab218230)

Anti-beta 2 Microglobulin antibody [EPR21752-214](ab218230)

Anti-beta 2 Microglobulin antibody [EPR21752-214](ab218230)

Anti-beta 2 Microglobulin antibody [EPR21752-214](ab218230)

Anti-beta 2 Microglobulin antibody [EPR21752-214](ab218230)

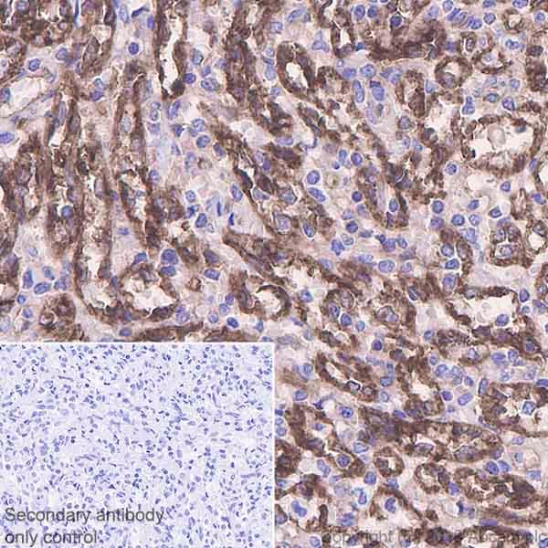
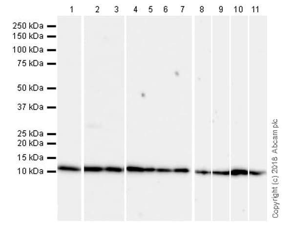
Rabbit Recombinant Monoclonal beta 2 Microglobulin antibody. Suitable for IP, WB, Flow Cyt (Intra), IHC-P and reacts with Human, Mouse, Rat samples. Cited in 5 publications.
Specifications
Shipped At Conditions Blue Ice
Appropriate Long term Storage Conditions Store at -20°C.
Clonality Monoclonal
Applications Flow Cyt (Intra), IHC-P, IP, WB
Species Reactivity Human, Mouse, Rat
Isotype IgG