JavaScript is disabled in your browser. Please enable JavaScript to view this website.

Anti-0N Tau antibody [EPR21726](ab218199)

$undefined

Anti-0N Tau antibody [EPR21726](ab218199)

Anti-0N Tau antibody [EPR21726](ab218199)

Anti-0N Tau antibody [EPR21726](ab218199)

Anti-0N Tau antibody [EPR21726](ab218199)

Anti-0N Tau antibody [EPR21726](ab218199)

Anti-0N Tau antibody [EPR21726](ab218199)

Anti-0N Tau antibody [EPR21726](ab218199)

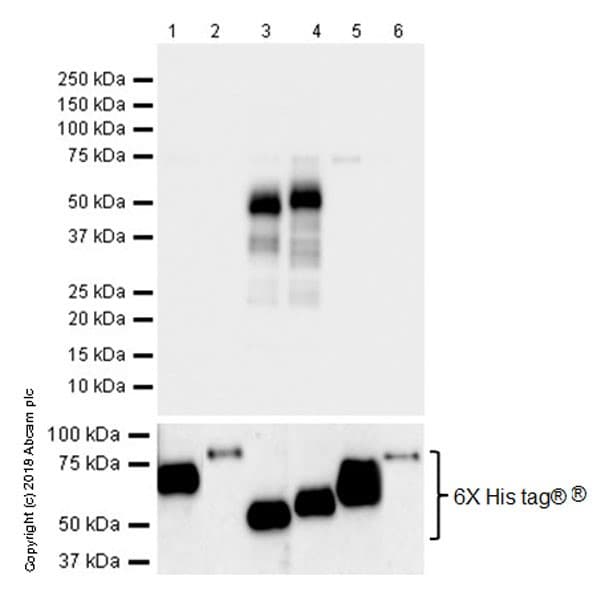
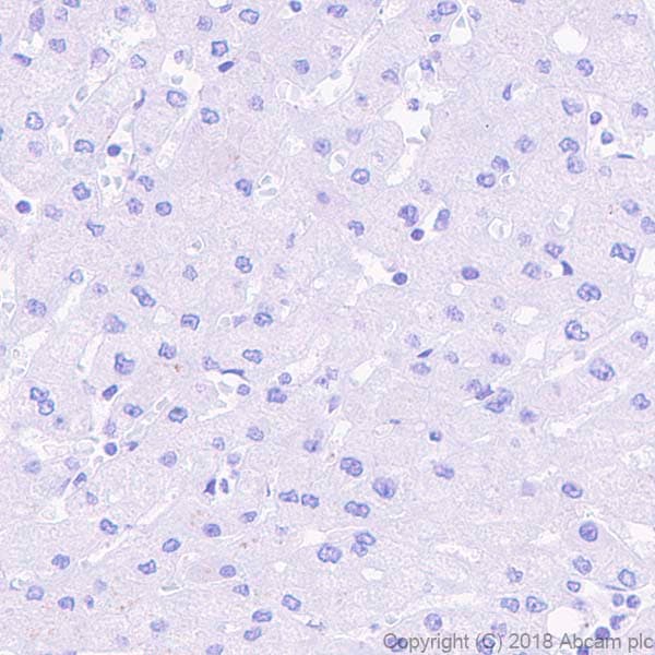
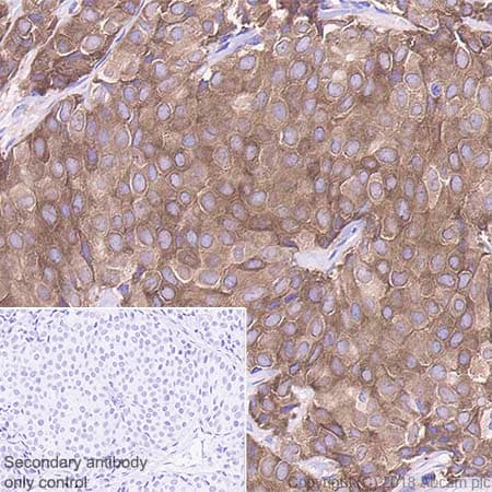
Rabbit Recombinant Monoclonal TAU antibody. Suitable for WB, IHC-P, IHC-Fr and reacts with Synthetic peptide, Human, Rat samples.
Specifications
Shipped At Conditions Blue Ice
Appropriate Long term Storage Conditions Store at -20°C.
Clonality Monoclonal
Applications IHC-Fr, IHC-P, WB
Species Reactivity Human, Rat
Isotype IgG