JavaScript is disabled in your browser. Please enable JavaScript to view this website.

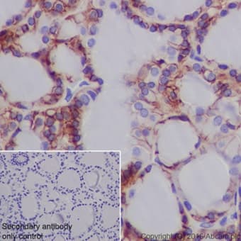
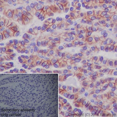
Anti-TSH Receptor/TSH-R antibody [EPR19751](ab218108)

$undefined

Anti-TSH Receptor/TSH-R antibody [EPR19751](ab218108)

Anti-TSH Receptor/TSH-R antibody [EPR19751](ab218108)

Anti-TSH Receptor/TSH-R antibody [EPR19751](ab218108)

Anti-TSH Receptor/TSH-R antibody [EPR19751](ab218108)

Anti-TSH Receptor/TSH-R antibody [EPR19751](ab218108)

Rabbit Recombinant Monoclonal TSH Receptor/TSH-R antibody. Suitable for IHC-P and reacts with Human samples. Cited in 2 publications.
Specifications
Shipped At Conditions Blue Ice
Appropriate Long term Storage Conditions Store at -20°C.
Clonality Monoclonal
Applications IHC-P
Species Reactivity Human
Isotype IgG