JavaScript is disabled in your browser. Please enable JavaScript to view this website.

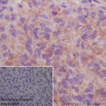
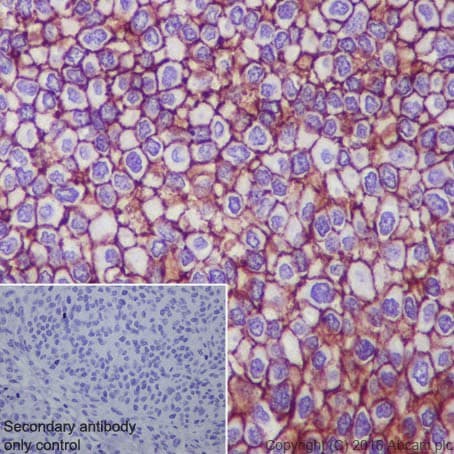
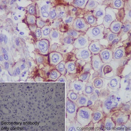
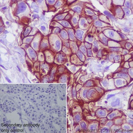
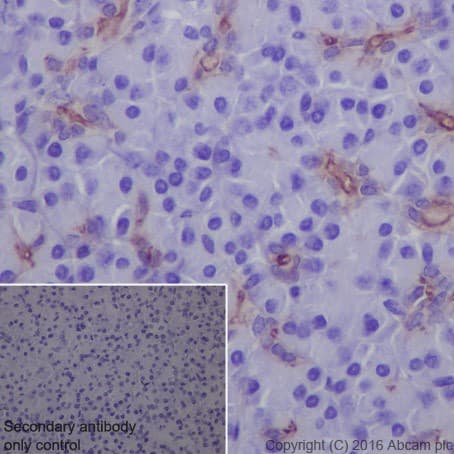
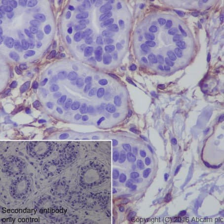
Anti-ROR2 antibody [EPR19980](ab218105)

$undefined

Anti-ROR2 antibody [EPR19980](ab218105)

Anti-ROR2 antibody [EPR19980](ab218105)

Anti-ROR2 antibody [EPR19980](ab218105)

Anti-ROR2 antibody [EPR19980](ab218105)

Anti-ROR2 antibody [EPR19980](ab218105)

Anti-ROR2 antibody [EPR19980](ab218105)

Anti-ROR2 antibody [EPR19980](ab218105)

Knockout Tested Rabbit Recombinant Monoclonal ROR2 antibody. Suitable for IHC-P, WB and reacts with Human samples. Cited in 1 publication.
Specifications
Shipped At Conditions Blue Ice
Appropriate Long term Storage Conditions Store at -20°C.
Clonality Monoclonal
Applications IHC-P, WB
Species Reactivity Human
Isotype IgG