JavaScript is disabled in your browser. Please enable JavaScript to view this website.

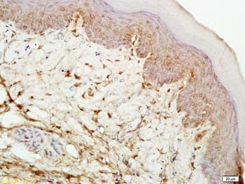
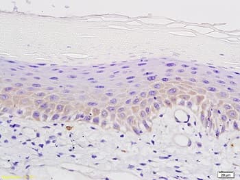
Anti-Mu Opioid Receptor antibody(AB217766)

$undefined

Anti-Mu Opioid Receptor antibody(AB217766)

Anti-Mu Opioid Receptor antibody(AB217766)

Rabbit Polyclonal Mu Opioid Receptor antibody. Suitable for IHC-P and reacts with Mouse samples. Immunogen corresponding to Synthetic Peptide within Human OPRM1 aa 150-250 conjugated to Keyhole Limpet Haemocyanin.
Specifications
Shipped At Conditions Blue Ice
Appropriate Long term Storage Conditions Store at -20°C.
Clonality Polyclonal
Applications IHC-P
Species Reactivity Mouse
Isotype IgG