JavaScript is disabled in your browser. Please enable JavaScript to view this website.

Anti-Mast Cell Tryptase antibody [EPR9522] - Low endotoxin, Azide free(AB216451)

$undefined

Mast Cell Tryptase Antibody Epr9522 Low Endotoxin Azide Free Ab216451  Immunohistochemistry Formalin Pfa Fixed Paraffin Embedded Sections Img134742

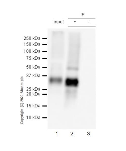
Mast Cell Tryptase Antibody Epr9522 Low Endotoxin Azide Free Ab216451  Immunoprecipitation Img3314

Rabbit Recombinant Monoclonal TRYB1 antibody. Carrier free. Suitable for IHC-P, IP, WB and reacts with Human samples.
Specifications
Shipped At Conditions Blue Ice
Appropriate Long term Storage Conditions Store at +4°C.
Clonality Monoclonal
Applications IHC-P, IP, WB
Species Reactivity Human
Isotype IgG