JavaScript is disabled in your browser. Please enable JavaScript to view this website.

Anti-Osteopontin antibody(AB216406)

$undefined

Anti-Osteopontin antibody(AB216406)

Anti-Osteopontin antibody(AB216406)

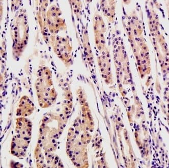
Rabbit Polyclonal Osteopontin antibody. Suitable for WB, IHC-P and reacts with Mouse, Human samples. Cited in 3 publications. Immunogen corresponding to Synthetic Peptide within Human SPP1 aa 150-200 conjugated to Keyhole Limpet Haemocyanin.
Specifications
Shipped At Conditions Blue Ice
Appropriate Long term Storage Conditions Store at -20°C.
Clonality Polyclonal
Applications IHC-P, WB
Species Reactivity Human, Mouse
Isotype IgG