JavaScript is disabled in your browser. Please enable JavaScript to view this website.

Anti-Occludin antibody [EPR20992](AB216327)

$undefined

Anti-Occludin antibody [EPR20992](AB216327)

Anti-Occludin antibody [EPR20992](AB216327)

Anti-Occludin antibody [EPR20992](AB216327)

Anti-Occludin antibody [EPR20992](AB216327)

Anti-Occludin antibody [EPR20992](AB216327)

Anti-Occludin antibody [EPR20992](AB216327)

Anti-Occludin antibody [EPR20992](AB216327)

Anti-Occludin antibody [EPR20992](AB216327)

Anti-Occludin antibody [EPR20992](AB216327)

Anti-Occludin antibody [EPR20992](AB216327)

Anti-Occludin antibody [EPR20992](AB216327)

Anti-Occludin antibody [EPR20992](AB216327)

Anti-Occludin antibody [EPR20992](AB216327)

Anti-Occludin antibody [EPR20992](AB216327)

Anti-Occludin antibody [EPR20992](AB216327)

Anti-Occludin antibody [EPR20992](AB216327)

Anti-Occludin antibody [EPR20992](AB216327)

Anti-Occludin antibody [EPR20992](AB216327)

Anti-Occludin antibody [EPR20992](AB216327)

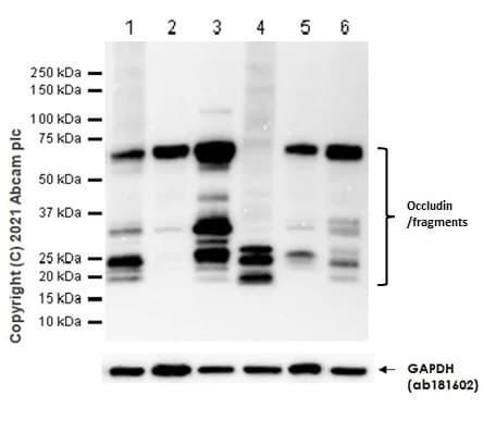
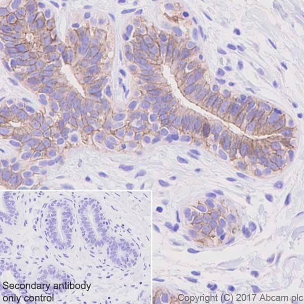
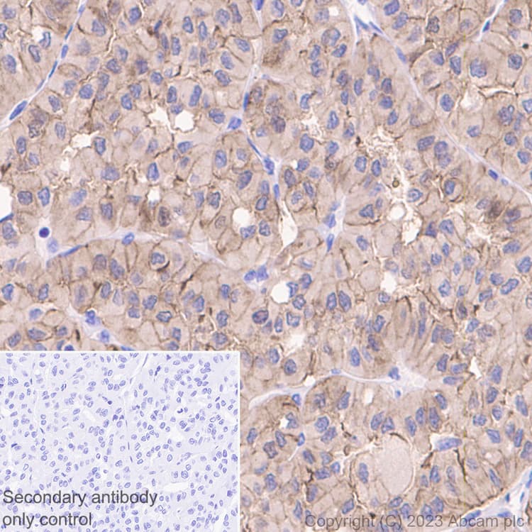
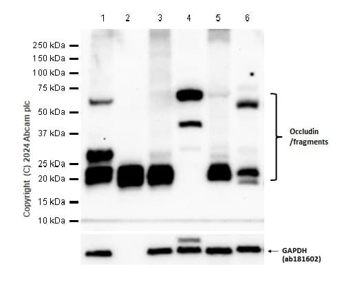
Anti-Occludin antibody [EPR20992] ab216327 is a rabbit monoclonal antibody that is used in Occludin western blotting, IHC, immunofluorescence and flow cytometry. Suitable for human, mouse and rat samples.

- Recombinant format for unrivaled batch-batch consistency: no need for same-lot requests
- Specificity confirmed with OCLN knockout cell line validation
- Specificity and sensitivity confirmed in IHC with multi-tissue microarray (TMA) validation
- Antibody clone EPR20992 is cited in over 330 publications
Specifications
Shipped At Conditions Blue Ice
Appropriate Long term Storage Conditions Store at -20°C.
Clonality Monoclonal
Applications Flow Cyt (Intra), ICC/IF, IHC-P, IP, WB
Species Reactivity Dog, Human, Mouse, Rat
Isotype IgG