JavaScript is disabled in your browser. Please enable JavaScript to view this website.

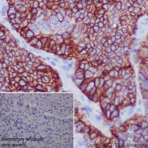
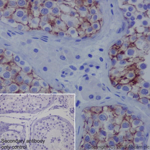
Anti-SLC7A5/LAT1 antibody [EPR17573] - BSA and Azide free(AB215822)

$undefined

Anti-SLC7A5/LAT1 antibody [EPR17573] - BSA and Azide free(AB215822)

Anti-SLC7A5/LAT1 antibody [EPR17573] - BSA and Azide free(AB215822)

Anti-SLC7A5/LAT1 antibody [EPR17573] - BSA and Azide free(AB215822)

Anti-SLC7A5/LAT1 antibody [EPR17573] - BSA and Azide free(AB215822)

Rabbit Recombinant Monoclonal SLC7A5/LAT1 antibody. Carrier free. Suitable for IHC-P and reacts with Human samples.
Specifications
Shipped At Conditions Blue Ice
Appropriate Long term Storage Conditions Store at +4°C.
Clonality Monoclonal
Applications IHC-P
Species Reactivity Human
Isotype IgG