Western blot - Anti-TGF beta 1 antibody [EPR21143] (ab215715)
Lanes 1 - 4: Merged signal (red and green). Green - ab215715 observed at 48 kDa. Red - loading control ab7291 (Mouse anti-Alpha Tubulin [DM1A]) observed at 55 kDa.
ab215715 was shown to react with TGF beta 1 in wild-type A549 cells in Western blot with loss of signal observed in TGFB1 knockout cell line ab269509 (TGFB1 knockout cell lysate ab269671). Wild-type A549 and TGFB1 knockout cell lysates were subjected to SDS-PAGE. Membranes were blocked in 3 % milk in TBS-T (0.1 % Tween®) before incubation with ab215715 and ab7291 (Mouse anti-Alpha Tubulin [DM1A]) overnight at 4 °C at a 1 in 1000 dilution and a 1 in 20000 dilution respectively. Blots were incubated with Goat anti-Rabbit IgG H&L (IRDye® 800CW) preabsorbed (ab216773) and Goat anti-Mouse IgG H&L (IRDye® 680RD) preabsorbed (ab216776) secondary antibodies at 1 in 20000 dilution for 1 h at room temperature before imaging.
All lanes:
Western blot - Anti-TGF beta 1 antibody [EPR21143] (ab215715) at 1/1000 dilution
Lane 1:
Wild-type A549 cell lysate at 20 µg
Lane 2:
TGFB1 knockout A549 cell lysate at 20 µg
Lane 3:
K562 cell lysate at 20 µg
Lane 4:
SH-SY5Y cell lysate at 20 µg
Performed under reducing conditions.
Predicted band size: 44 kDa
Observed band size: 48 kDa

Western blot - Anti-TGF beta 1 antibody [EPR21143] (ab215715)
Lanes 1 - 4: Merged signal (red and green). Green - ab215715 observed at 13 and 44 kDa. Red - loading control, ab7291, observed at 50 kDa.
ab215715 was shown to specifically react with in wild-type HeLa cells as signal was lost in TGFB1 knockout cells. Wild-type and TGFB1 knockout samples were subjected to SDS-PAGE. The membrane was blocked with 3% NF Milk. ab215715 and ab7291 (Mouse anti-tubulin loading control) were incubated overnight at 4°C at 1/1000 dilution and 1/20000 dilution respectively. Blots were developed with Goat anti-Rabbit IgG H&L (IRDye® 800CW) preabsorbed ab216773 and Goat anti-Mouse IgG H&L (IRDye® 680RD) preabsorbed ab216776 secondary antibodies at 1/20000 dilution for 1 hour at room temperature before imaging.
All lanes:
Western blot - Anti-TGF beta 1 antibody [EPR21143] (ab215715) at 1/1000 dilution
Lane 1:
Wild-type HeLa whole cell lysate at 20 µg
Lane 2:
TGFB1 knockout HeLa whole cell lysate at 20 µg
Lane 3:
A549 whole cell lysate at 20 µg
Lane 4:
Mouse spleen tissue lysate at 20 µg
Predicted band size: 44 kDa
Observed band size: 13 kDa, 44 kDa

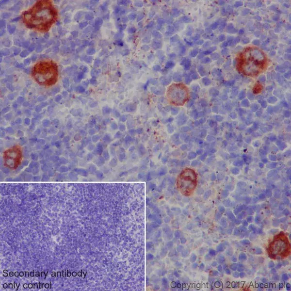
Immunohistochemistry (Formalin/PFA-fixed paraffin-embedded sections) - Anti-TGF beta 1 antibody [EPR21143] (ab215715)
Immunohistochemical analysis of paraffin-embedded human thrombocytosis tissue labeling TGF beta 1 with ab215715 at 1/500 dilution, followed by Goat Anti-Rabbit IgG H&L (HRP) ready to use. Cytoplasmic staining of megakaryocytes in human thrombocytosis (PMID: 25305163). Heat mediated antigen retrieval was performed using Tris/EDTA buffer pH 9.0 before commencing with IHC staining protocol.
Secondary antibody only control: Used PBS instead of primary antibody, secondary antibody is Goat Anti-Rabbit IgG H&L (HRP) ready to use.

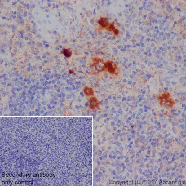
Immunohistochemistry (Formalin/PFA-fixed paraffin-embedded sections) - Anti-TGF beta 1 antibody [EPR21143] (ab215715)
Immunohistochemical analysis of paraffin-embedded mouse spleen tissue labeling TGF beta 1 with ab215715 at 1/500 dilution, followed by Goat Anti-Rabbit IgG H&L (HRP) ready to use. Positive staining of megakaryocytes and platelets in mouse spleen (PMID: 25305163). Heat mediated antigen retrieval was performed using Tris/EDTA buffer pH 9.0 before commencing with IHC staining protocol.
Secondary antibody only control: Used PBS instead of primary antibody, secondary antibody is Goat Anti-Rabbit IgG H&L (HRP) ready to use.

Immunohistochemistry (Formalin/PFA-fixed paraffin-embedded sections) - Anti-TGF beta 1 antibody [EPR21143] (ab215715)
Immunohistochemistry (Formalin/PFA-fixed paraffin-embedded sections) analysis of Human bladder cancer tissue sections labeling BDNF with Purified ab108319 at 1:500 dilution (0.56 μg/ml). Heat mediated antigen retrieval was performed using ab93684 (Tris/EDTA buffer, pH 9.0).

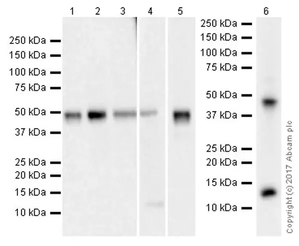
Western blot - Anti-TGF beta 1 antibody [EPR21143] (ab215715)
Exposure times: Lanes 1-4: 3 minutes; Lane 5: 41 seconds; Lane 6: 24 seconds.
Blocking/Dilution buffer: 5% NFDM/TBST.
The molecular mass observed is consistent with the literature (PMID 2139036).
The blot was developed on a BIO-RAD® ChemiDoc™ MP instrument.
All lanes:
Western blot - Anti-TGF beta 1 antibody [EPR21143] (ab215715) at 1/1000 dilution
Lane 1:
NIH/3T3 (mouse embryo fibroblast cell line) whole cell lysate at 20 µg
Lane 2:
L-929 (mouse connective tissue fibroblast cell line) whole cell lysate at 20 µg
Lane 3:
A549 (human lung carcinoma cell line) whole cell lysate at 20 µg
Lane 4:
HL-60 (human promyelocytic leukemia cell line) whole cell lysate at 20 µg
Lane 5:
RAW 264.7 (mouse macrophage cell line transformed with Abelson murine leukemia virus) whole cell lysate at 20 µg
Lane 6:
Mouse spleen lysate at 10 µg
Secondary
All lanes:
Western blot - Goat Anti-Rabbit IgG H&L (HRP) (ab97051) at 1/20000 dilution
Developed using the ECL technique.
Predicted band size: 44 kDa
Observed band size: 12 kDa, 44 kDa
