JavaScript is disabled in your browser. Please enable JavaScript to view this website.

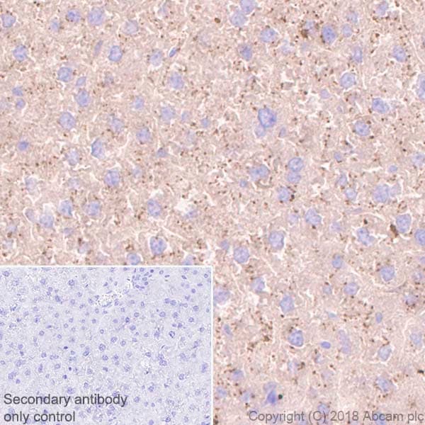
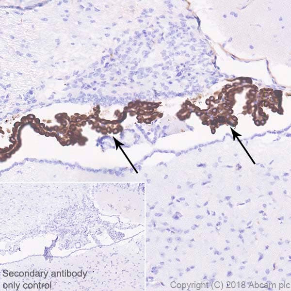
Anti-Prealbumin antibody [EPR20971](ab215202)

$undefined

Anti-Prealbumin antibody [EPR20971](ab215202)

Anti-Prealbumin antibody [EPR20971](ab215202)

Anti-Prealbumin antibody [EPR20971](ab215202)

Anti-Prealbumin antibody [EPR20971](ab215202)

Anti-Prealbumin antibody [EPR20971](ab215202)

Rabbit Recombinant Monoclonal Prealbumin antibody. Suitable for IP, IHC-Fr, IHC-P and reacts with Mouse samples. Cited in 3 publications.
Specifications
Shipped At Conditions Blue Ice
Appropriate Long term Storage Conditions Store at -20°C.
Clonality Monoclonal
Applications ICC/IF, IHC-Fr, IHC-P, IP, WB
Species Reactivity Mouse, Rat
Isotype IgG