JavaScript is disabled in your browser. Please enable JavaScript to view this website.

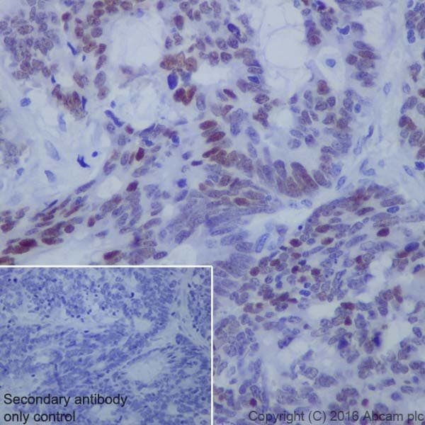
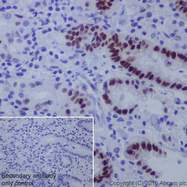
Anti-KLF4 antibody [EPR19590](ab215036)

$undefined

Anti-KLF4 antibody [EPR19590](ab215036)

Anti-KLF4 antibody [EPR19590](ab215036)

Anti-KLF4 antibody [EPR19590](ab215036)

Anti-KLF4 antibody [EPR19590](ab215036)

Anti-KLF4 antibody [EPR19590](ab215036)

Anti-KLF4 antibody [EPR19590](ab215036)

Anti-KLF4 antibody [EPR19590](ab215036)

Anti-KLF4 antibody [EPR19590](ab215036)

Anti-KLF4 antibody [EPR19590](ab215036)

Anti-KLF4 antibody [EPR19590](ab215036)

Anti-KLF4 antibody [EPR19590](ab215036)

Rabbit Recombinant Monoclonal KLF4 antibody. Suitable for IP, WB, ICC/IF, Flow Cyt (Intra), IHC-P, ChIP-seq and reacts with Human samples. Cited in 48 publications.
Specifications
Shipped At Conditions Blue Ice
Appropriate Long term Storage Conditions Store at -20°C.
Clonality Monoclonal
Applications ChIP-seq, Flow Cyt (Intra), ICC/IF, IHC-P, IP, WB
Species Reactivity Human
Isotype IgG