JavaScript is disabled in your browser. Please enable JavaScript to view this website.

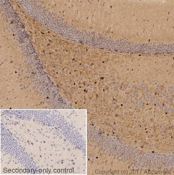
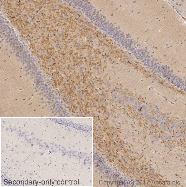
Anti-BDNF antibody [EPR21211](AB213323)

$undefined

Anti-BDNF antibody [EPR21211](AB213323)

Anti-BDNF antibody [EPR21211](AB213323)

Rabbit Recombinant Monoclonal BDNF antibody. Suitable for IHC-P, IHC-Fr and reacts with Mouse, Rat samples. Cited in 5 publications.
Specifications
Shipped At Conditions Blue Ice
Appropriate Long term Storage Conditions Store at -20°C.
Clonality Monoclonal
Applications IHC-Fr, IHC-P
Species Reactivity Mouse, Rat
Isotype IgG1