JavaScript is disabled in your browser. Please enable JavaScript to view this website.

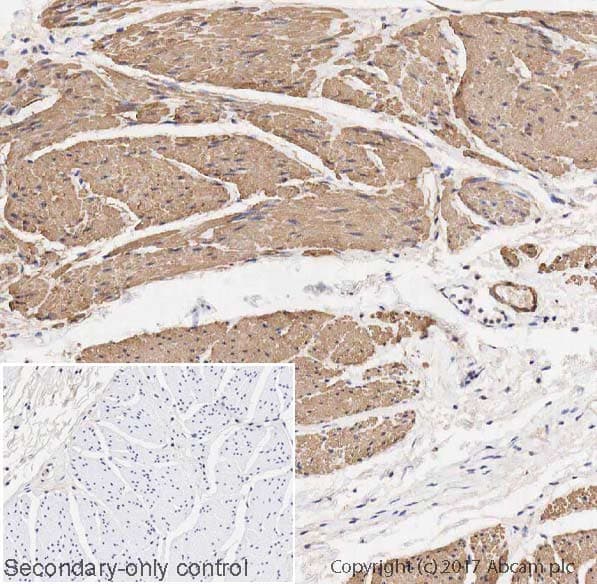
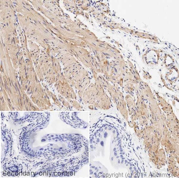
Anti-TAGLN/Transgelin antibody [EPR21206](AB213273)

$undefined

Anti-TAGLN/Transgelin antibody [EPR21206](AB213273)

Anti-TAGLN/Transgelin antibody [EPR21206](AB213273)

Anti-TAGLN/Transgelin antibody [EPR21206](AB213273)

Anti-TAGLN/Transgelin antibody [EPR21206](AB213273)

Anti-TAGLN/Transgelin antibody [EPR21206](AB213273)

Anti-TAGLN/Transgelin antibody [EPR21206](AB213273)

Anti-TAGLN/Transgelin antibody [EPR21206](AB213273)

Human Recombinant Monoclonal TAGLN/Transgelin antibody. Suitable for IHC-P, WB and reacts with Mouse, Rat, Human samples.
Specifications
Shipped At Conditions Blue Ice
Appropriate Long term Storage Conditions Store at -20°C.
Clonality Monoclonal
Applications ICC/IF, IHC-P, WB
Species Reactivity Human, Mouse, Rat
Isotype IgG1