JavaScript is disabled in your browser. Please enable JavaScript to view this website.

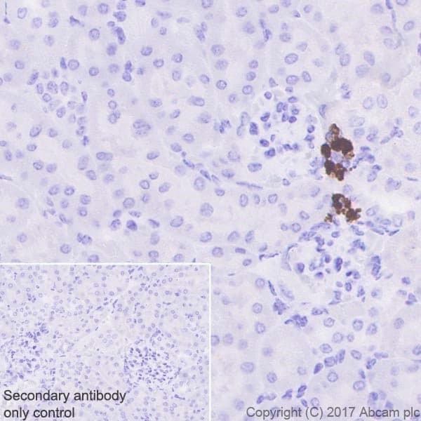
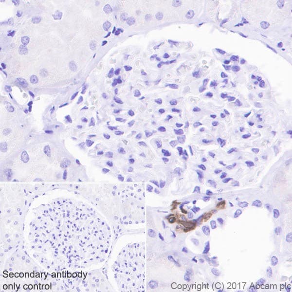
Anti-Renin antibody [EPR20693](AB212197)

$undefined

Anti-Renin antibody [EPR20693](AB212197)

Anti-Renin antibody [EPR20693](AB212197)

Anti-Renin antibody [EPR20693](AB212197)

Anti-Renin antibody [EPR20693](AB212197)

Rabbit Recombinant Monoclonal Renin antibody. Suitable for IHC-Fr, IHC-P and reacts with Mouse, Rat, Human samples. Cited in 9 publications.
Specifications
Shipped At Conditions Blue Ice
Appropriate Long term Storage Conditions Store at -20°C.
Clonality Monoclonal
Applications Human, Mouse, Rat
Species Reactivity IHC-Fr, IHC-P, WB
Isotype IgG