JavaScript is disabled in your browser. Please enable JavaScript to view this website.

Anti-CD11b antibody [EPR1344] - BSA and Azide free(AB209970)

$undefined

Anti-CD11b antibody [EPR1344] - BSA and Azide free(AB209970)

Anti-CD11b antibody [EPR1344] - BSA and Azide free(AB209970)

Anti-CD11b antibody [EPR1344] - BSA and Azide free(AB209970)

Anti-CD11b antibody [EPR1344] - BSA and Azide free(AB209970)

Anti-CD11b antibody [EPR1344] - BSA and Azide free(AB209970)

Anti-CD11b antibody [EPR1344] - BSA and Azide free(AB209970)

Anti-CD11b antibody [EPR1344] - BSA and Azide free(AB209970)

Anti-CD11b antibody [EPR1344] - BSA and Azide free(AB209970)

Anti-CD11b antibody [EPR1344] - BSA and Azide free(AB209970)

Anti-CD11b antibody [EPR1344] - BSA and Azide free(AB209970)

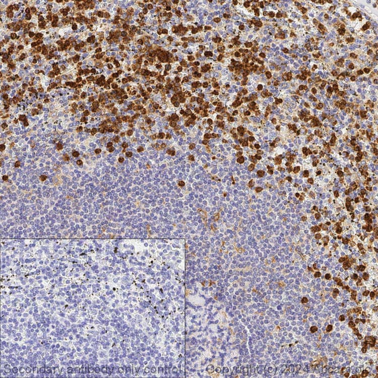
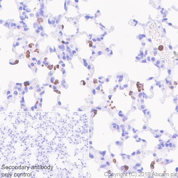
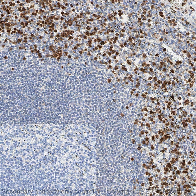
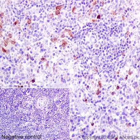
anti-CD11b antibody [EPR1344] ab209970 is a carrier free rabbit monoclonal antibody that is used in CD11b western blotting and IHC. Suitable for human, mouse and rat samples.

- PBS only, conjugation-ready, removing anything extra from your antibodies, greater flexibility in assay design
- Validated for multiplex IHC on the Leica BOND® MAX using Opal reagents; and for CD11b IHC using Leica BOND™ RX
- Recombinant format for unrivaled batch-batch consistency: no need for same-lot requests
- Antibody clone EPR1344 is cited in over 430 publications
Specifications
Shipped At Conditions Blue Ice
Appropriate Long term Storage Conditions Store at +4°C.
Clonality Monoclonal
Applications Human, Mouse, Rat
Species Reactivity IHC-P, WB, mIHC
Isotype IgG