JavaScript is disabled in your browser. Please enable JavaScript to view this website.

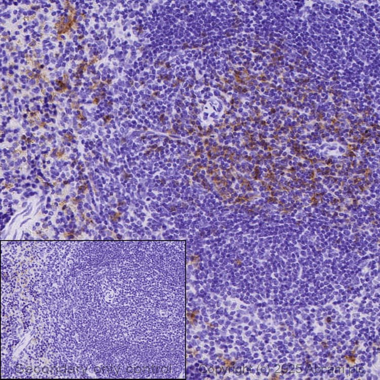
Anti-CD8 alpha antibody [EPR20305](AB209775)

$undefined

Anti-CD8 alpha antibody [EPR20305](AB209775)

Anti-CD8 alpha antibody [EPR20305](AB209775)

Anti-CD8 alpha antibody [EPR20305](AB209775)

Anti-CD8 alpha antibody [EPR20305](AB209775)

Anti-CD8 alpha antibody [EPR20305] ab209775 is a rabbit monoclonal antibody that is used in CD8 alpha western blotting and IHC. Suitable for mouse samples

- Recombinant format for unrivaled batch-batch consistency: no need for same-lot requests
- Specificity and sensitivity confirmed in IHC with multi-tissue microarray (TMA) validation
- Antibody clone EPR20305 is cited in over 130 publications
Specifications
Shipped At Conditions Blue Ice
Appropriate Long term Storage Conditions Store at -20°C.
Clonality Monoclonal
Applications Mouse
Species Reactivity IHC-P, WB
Isotype IgG