JavaScript is disabled in your browser. Please enable JavaScript to view this website.

Anti-LAMP1 antibody [EPR21026](AB208943)

$undefined

Anti-LAMP1 antibody [EPR21026](AB208943)

Anti-LAMP1 antibody [EPR21026](AB208943)

Anti-LAMP1 antibody [EPR21026](AB208943)

Anti-LAMP1 antibody [EPR21026](AB208943)

Anti-LAMP1 antibody [EPR21026](AB208943)

Anti-LAMP1 antibody [EPR21026](AB208943)

Anti-LAMP1 antibody [EPR21026](AB208943)

Anti-LAMP1 antibody [EPR21026](AB208943)

Anti-LAMP1 antibody [EPR21026](AB208943)

Anti-LAMP1 antibody [EPR21026](AB208943)

Anti-LAMP1 antibody [EPR21026](AB208943)

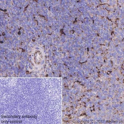
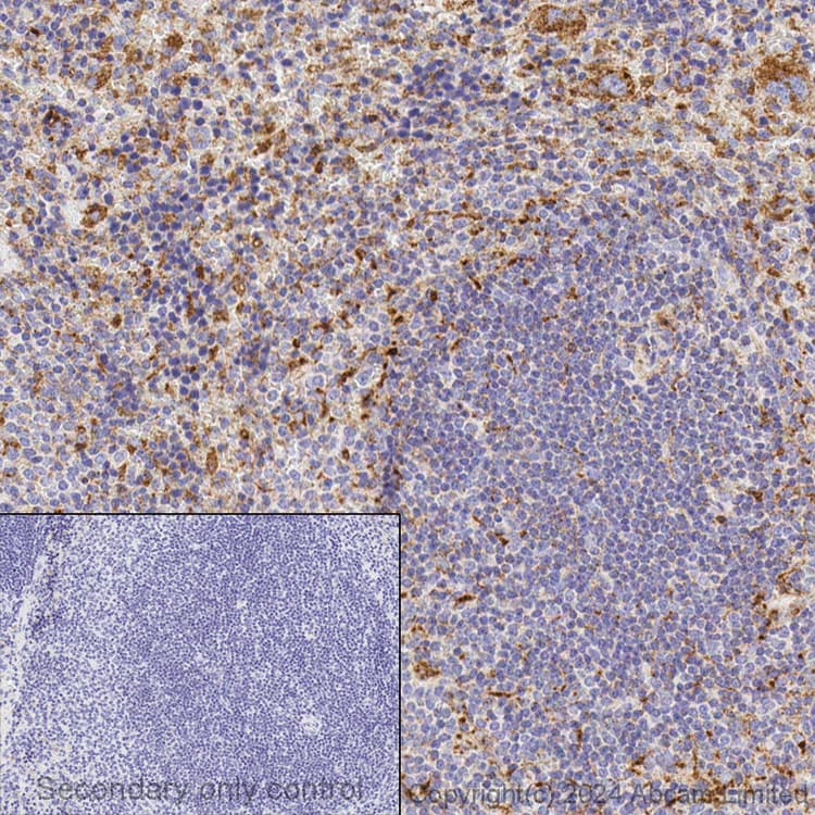
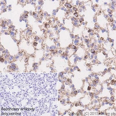
Anti-LAMP1 antibody [EPR21026] ab208943 is a rabbit monoclonal antibody that is used in LAMP1 western blotting, IHC, immunofluorescence and flow cytometry. Suitable for mouse samples

- Recombinant format for unrivaled batch-batch consistency: no need for same-lot requests
- Antibody clone EPR21026 is cited in over 40 publications
- One antibody for all your LAMP1 staining, use in LAMP1 western blotting, IHC, immunofluorescence and flow cytometry
Specifications
Shipped At Conditions Blue Ice
Appropriate Long term Storage Conditions Store at -20°C.
Clonality Monoclonal
Applications Flow Cyt (Intra), ICC/IF, IHC-Fr, IHC-P, IP, WB
Species Reactivity Mouse
Isotype IgG