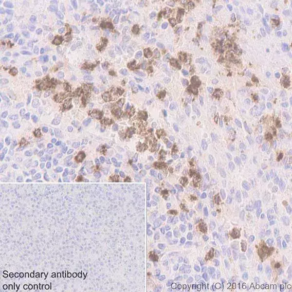
Immunohistochemistry (Formalin/PFA-fixed paraffin-embedded sections) - Anti-Myeloperoxidase antibody [EPR20257] (ab208670)
Immunohistochemical analysis of paraffin-embedded human spleen tissue labeling Myeloperoxidase with ab208670 at 1/1000 dilution, followed by Goat Anti-Rabbit IgG H&L (HRP) (ab97051) at 1/500 dilution.
Cytoplasmic staining on neutrophils of human spleen is observed [PMID: 19566938].
Counter stained with Hematoxylin.
Secondary antibody only control: Used PBS instead of primary antibody, secondary antibody is Goat Anti-Rabbit IgG H&L (HRP) (ab97051) at 1/500 dilution.
Perform heat mediated antigen retrieval with Tris/EDTA buffer pH 9.0 before commencing with IHC staining protocol.

Western blot - Anti-Myeloperoxidase antibody [EPR20257] (ab208670)
Blocking/Dilution buffer: 5% NFDM/TBST.
The molecular weight observed is consistent with what has been described in the literature. PMID: 3029127 PMID: 2154223.
Negative control: HeLa PMID 12040446.
All lanes:
Western blot - Anti-Myeloperoxidase antibody [EPR20257] (ab208670) at 1/1000 dilution
Lane 1:
Human fetal spleen lysate at 20 µg
Lane 2:
Rat spleen lysate at 20 µg
Lane 3:
HeLa (Human epithelial cell line from cervix adenocarcinoma) whole cell lysate at 20 µg
Secondary
All lanes:
Western blot - Goat Anti-Rabbit IgG H&L (HRP) (ab97051) at 1/100000 dilution
Predicted band size: 83 kDa
Observed band size: 59 kDa
Exposure time: 10s
![Western blot of Myeloperoxidase antibody [EPR20257] (ab208670) at 1/1000 dilution in human fetal spleen, rat spleen, and HeLa lysates.](./media_1521495c403907c8e263ff676118b228250bfc938.avif?width=750&format=avif&optimize=medium)
Immunocytochemistry/ Immunofluorescence - Anti-Myeloperoxidase antibody [EPR20257] (ab208670)
Immunofluorescent analysis of 100% methanol-fixed HL-60 (Human promyelocytic leukemia cell line) and HeLa (Human epithelial cell line from cervix adenocarcinoma) cells labeling Myeloperoxidase with ab208670 at 1/100 dilution, followed by Goat anti-rabbit IgG (Alexa Fluor® 488) (ab150077) secondary antibody at 1/1000 dilution (green).
Confocal image showing cytoplasmic staining on HL-60 cell line.
Negative control: HeLa (PMID: 12040446).
The nuclear counterstain is DAPI (blue).
Tubulin is detected with ab195889 (Anti-alpha Tubulin antibody [DM1A] - Microtubule Marker (Alexa Fluor® 594)) at 1/200 dilution (red).
Secondary antibody only control: Used PBS instead of primary antibody, secondary antibody is Goat anti-rabbit IgG (Alexa Fluor® 488) (ab150077) at 1/1000 dilution.

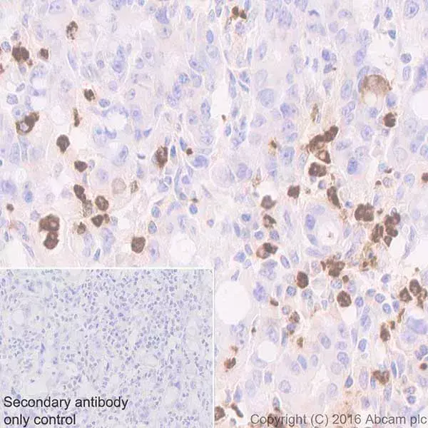
Immunohistochemistry (Formalin/PFA-fixed paraffin-embedded sections) - Anti-Myeloperoxidase antibody [EPR20257] (ab208670)
Immunohistochemical analysis of paraffin-embedded human stomach cancer tissue labeling Myeloperoxidase with ab208670 at 1/1000 dilution, followed by Goat Anti-Rabbit IgG H&L (HRP) (ab97051) at 1/500 dilution.
Cytoplasmic staining on neutrophils of human stomach cancer is observed [PMID: 19566938].
Counter stained with Hematoxylin.
Secondary antibody only control: Used PBS instead of primary antibody, secondary antibody is Goat Anti-Rabbit IgG H&L (HRP) (ab97051) at 1/500 dilution.
Perform heat mediated antigen retrieval with Tris/EDTA buffer pH 9.0 before commencing with IHC staining protocol.

Flow Cytometry (Intracellular) - Anti-Myeloperoxidase antibody [EPR20257] (ab208670)
Intracellular flow cytometric analysis of 4% paraformaldehyde-fixed HeLa cells (left panel) and HL-60cells (right panel)labeling Myeloperoxidase with ab208670 at 1/500 dilution, compared with a Rabbit IgG, monoclonal [EPR25A] - Isotype Control ( (ab172730);black)andunlabelled control (cells without incubation with primary and secondary antibodies; blue). Goat Anti-Rabbit IgG H&L (Alexa Fluor® 488) (ab150077) at 1/2000 dilution was used as the secondary antibody. Negative control: HeLa (PMID: 12040446).

Flow Cytometry (Intracellular) - Anti-Myeloperoxidase antibody [EPR20257] (ab208670)
Blocking/Dilution buffer: 5% NFDM/TBST.
The molecular weight observed is consistent with what has been described in the literature. PMID: 3029127 PMID: 2154223.
All lanes:
Western blot - Anti-Myeloperoxidase antibody [EPR20257] (ab208670) at 1/5000 dilution
All lanes:
Mouse spleen lysate at 20 µg
Secondary
All lanes:
Western blot - Goat Anti-Rabbit IgG H&L (HRP) (ab97051) at 1/100000 dilution
Predicted band size: 83 kDa
Observed band size: 59 kDa
Exposure time: 10s
