JavaScript is disabled in your browser. Please enable JavaScript to view this website.

Anti-TRIM21/SS-A antibody [EPR20290](AB207728)

$undefined

Anti-TRIM21/SS-A antibody [EPR20290](AB207728)

Anti-TRIM21/SS-A antibody [EPR20290](AB207728)

Anti-TRIM21/SS-A antibody [EPR20290](AB207728)

Anti-TRIM21/SS-A antibody [EPR20290](AB207728)

Anti-TRIM21/SS-A antibody [EPR20290](AB207728)

Anti-TRIM21/SS-A antibody [EPR20290](AB207728)

Anti-TRIM21/SS-A antibody [EPR20290](AB207728)

Anti-TRIM21/SS-A antibody [EPR20290](AB207728)

Anti-TRIM21/SS-A antibody [EPR20290](AB207728)

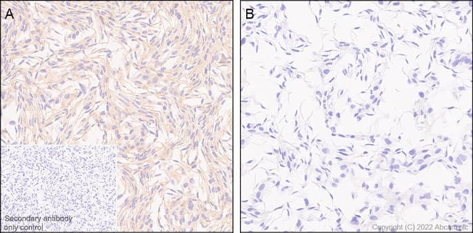
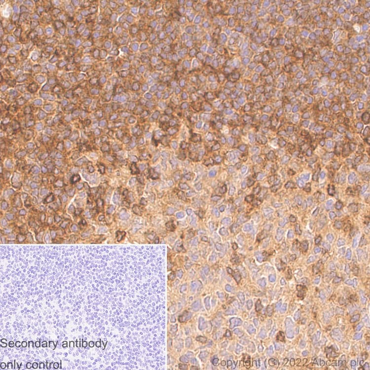
Rabbit Recombinant Monoclonal TRIM21/SS-A antibody. Suitable for WB, IHC-P and reacts with Mouse, Rat, Human samples. Cited in 10 publications.
Specifications
Shipped At Conditions Blue Ice
Appropriate Long term Storage Conditions Store at -20°C.
Clonality Monoclonal
Applications Human, Mouse, Rat
Species Reactivity ICC/IF, IHC-P, IP, WB
Isotype IgG