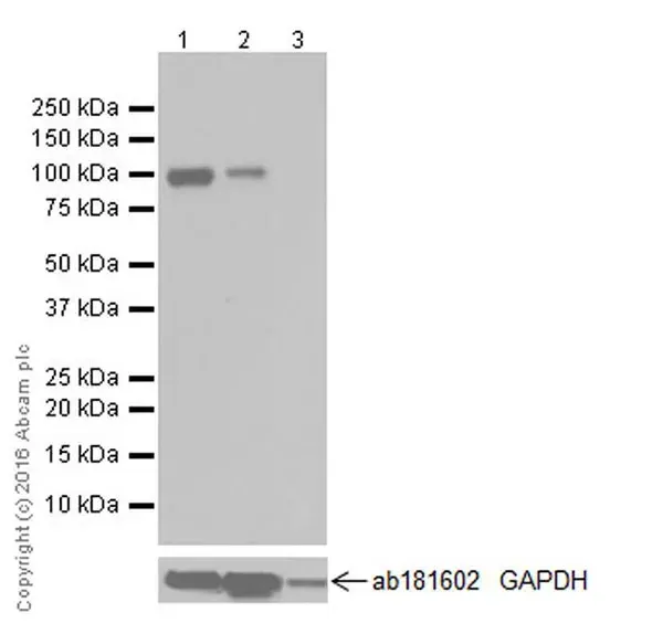
Western blot - Anti-Fibroblast activation protein, alpha antibody [EPR20021] (ab207178)
Blocking/Dilution buffer: 5% NFDM/TBST.
The molecular weight is consistent with the literature.
Negative control: Human fetal liver (PMID: 10593948, PMID: 9139873).
All lanes:
Western blot - Anti-Fibroblast activation protein, alpha antibody [EPR20021] (ab207178) at 1/1000 dilution
Lane 1:
WI-38 (Human fetal lung fibroblast cell line) whole cell lysate at 10 µg
Lane 2:
U-87 MG (Human glioblastoma-astrocytoma epithelial cell line) whole cell lysate at 10 µg
Lane 3:
Human fetal liver lysate at 10 µg
Secondary
All lanes:
Western blot - Goat Anti-Rabbit IgG H&L (HRP) (ab97051) at 1/100000 dilution
Predicted band size: 88 kDa
Observed band size: 95 kDa
Exposure time: 3min
![Western blot analysis of anti-Fibroblast activation protein, alpha antibody [EPR20021] (ab207178) at 1/1000 dilution.](./media_1ed45b23ec4e9487550bd3d0357b5b8edacfc7282.avif?width=750&format=avif&optimize=medium)
Western blot - Anti-Fibroblast activation protein, alpha antibody [EPR20021] (ab207178)
Blocking/Dilution buffer: 5% NFDM/TBST.
Exposure time: Lane 1: 1 minute; Lane 2: 3 minutes.
The molecular weight is consistent with the literature (PMID: 10593948).
All lanes:
Western blot - Anti-Fibroblast activation protein, alpha antibody [EPR20021] (ab207178) at 1/1000 dilution
Lane 1:
HFF-1 (Human forskin fibroblast cell line) whole cell lysate at 10 µg
Lane 2:
IMR-90 (Human lung fibroblast cell line) whole cell lysate at 10 µg
Secondary
All lanes:
Western blot - Goat Anti-Rabbit IgG H&L (HRP) (ab97051) at 1/100000 dilution
Predicted band size: 88 kDa
Observed band size: 95 kDa

Immunohistochemistry (Formalin/PFA-fixed paraffin-embedded sections) - Anti-Fibroblast activation protein, alpha antibody [EPR20021] (ab207178)
Immunohistochemical analysis of paraffin-embedded human pancreatic cancer tissue labeling Fibroblast activation protein, alpha with ab207178 at 1/250 dilution, followed by Goat Anti-Rabbit IgG H&L (HRP) (ab97051) at 1/500 dilution. Cell surface staining on stromal cells of human pancreas cancer is observed [PMID:2371645].
Counter stained with Hematoxylin.
Secondary antibody only control: Used PBS instead of primary antibody, secondary antibody is Goat Anti-Rabbit IgG H&L (HRP) (ab97051) at 1/500 dilution.
Perform heat mediated antigen retrieval with Tris/EDTA buffer pH 9.0 before commencing with IHC staining protocol.

Western blot - Anti-Fibroblast activation protein, alpha antibody [EPR20021] (ab207178)
Different batches of ab207178 were tested on IMR-90 (Human lung fibroblast cell line) lysate at 1.0 µg/ml. 15 µg of lysate was loaded in each lane. Bands observed at 95 kDa.
All lanes:
Western blot - Anti-Fibroblast activation protein, alpha antibody [EPR20021] (ab207178)
Predicted band size: 88 kDa
Observed band size: 95 kDa
![Western blot of anti-Fibroblast activation protein, alpha antibody [EPR20021] (ab207178) showing bands at 95 kDa.](./media_187154a9210766eebe451f3c6bed4e263bd556782.avif?width=750&format=avif&optimize=medium)